Parodontose ist eine weit verbreitete Zahnfleischerkrankung, die oft unterschätzt wird. In diesem Artikel erfahren Sie, was Parodontose ist und welche Symptome darauf hinweisen können. Außerdem erhalten Sie wichtige Informationen zur Vorbeugung und Behandlung dieser Erkrankung, um Ihre Zahngesundheit zu schützen.
- Kreative Anleitung: Matschküche selber bauen – Perfekte Spielidee für Kinder!
- Alles über Konsonanten – Eine detaillierte Erklärung (90 characters)
- Wann wird das iPhone 15 veröffentlicht? Erfahren Sie alles über das neue Modell
- Constantin verlässt Schlager-Spa: Die Gründe für seinen Abgang
- Lena Wurzenberger, Ex-Freundin von Julian Nagelsmann, startet bei BMW: Die neue Aufgabe
Parodontose: Ursachen, Symptome und Behandlung der Zahnbetterkrankung
Die Parodontose, auch als Parodontitis bezeichnet, ist eine bakterielle Entzündung des Zahnbetts. Sie kann zu Lockerung und Verlust der Zähne führen. Etwa die Hälfte der erwachsenen Bundesbürger leidet unter dieser Erkrankung.
Die Parodontose beginnt oft schleichend und wird vom Patienten häufig nicht bemerkt. Wenn sie jedoch über einen längeren Zeitraum unbehandelt bleibt, kann sie zu schwerwiegenden Folgen führen.
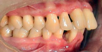
Typische Symptome einer Parodontose sind Zahnfleischbluten und Mundgeruch. Das Zahnfleisch zieht sich zurück und es entstehen Zahntaschen, in denen sich Bakterien vermehren können. Im fortgeschrittenen Stadium können die Zähne locker werden und Schmerzen verursachen.
Um eine Parodontose zu behandeln, müssen die krankheitserregenden Bakterien entfernt und die Entzündung bekämpft werden. Der Zahnarzt reinigt die Zahnoberfläche gründlich und beseitigt die Bakterien. In manchen Fällen ist ein chirurgischer Eingriff notwendig, um erkranktes Gewebe zu entfernen.
Eine wichtige Rolle bei der Behandlung spielt auch die konsequente Nachsorge. Unbehandelt kann eine Parodontose zu Zahnverlust und weiteren Folgeerkrankungen führen.
Um einer Parodontose vorzubeugen, ist eine gute Mundhygiene entscheidend. Regelmäßiges Zähneputzen, die Verwendung von Zahnseide und regelmäßige Kontrollbesuche beim Zahnarzt sind wichtig, um Bakterien und Plaque zu entfernen.
Eine gesunde Ernährung kann ebenfalls dazu beitragen, das Risiko einer Parodontose zu reduzieren. Eine ausgewogene Ernährung mit viel Obst, Gemüse und Vollkornprodukten ist empfehlenswert.
Bei freiliegenden Zahnhälsen in Folge von Parodontalerkrankungen kann der Zahnarzt eine mikrochirurgische Behandlung durchführen, um ästhetische Rehabilitation am Zahnhals vorzunehmen.
Es gibt auch Zusammenhänge zwischen Parodontose und anderen Erkrankungen wie Osteoporose und Diabetes. Es ist wichtig, diese Zusammenhänge zu beachten und gegebenenfalls zusätzliche Maßnahmen zur Behandlung dieser Erkrankungen zu ergreifen.
Ein neuer Zahnersatz kann bei Parodontose sinnvoll sein, um verlorengegangene Zähne zu ersetzen. Die beste Lösung hängt jedoch vom individuellen Fall ab und sollte mit dem Zahnarzt besprochen werden.
In einigen Fällen kann eine Implantatversorgung nach einer Parodontosebehandlung in Frage kommen. Dies sollte jedoch individuell mit dem Zahnarzt besprochen werden.
Eine unsichtbare Zahnspange wie Invisalign kann auch bei Parodontose eingesetzt werden. Sie ermöglicht eine unauffällige Korrektur von Zahnfehlstellungen während der Behandlung der Parodontitis.
Zahnfleischrückgang kann verschiedene Ursachen haben. Um den Rückgang des Zahnfleisches zu behandeln, ist es wichtig, die zugrunde liegenden Ursachen zu identifizieren und entsprechende Maßnahmen zu ergreifen.
Es gibt verschiedene Arten von Zahnspangen für Kinder und Erwachsene. Die Wahl der richtigen Zahnspange hängt von verschiedenen Faktoren ab und sollte mit dem Kieferorthopäden besprochen werden.
Die Kosten für ein Zahnimplantat können je nach individuellem Fall variieren. Es ist wichtig, sich vorab über die Kosten zu informieren und gegebenenfalls eine Kostenübernahme bei der Krankenkasse zu beantragen.
Zahnfehlstellungen können verschiedene Ursachen haben. Die Korrekturkosten hängen von der Art und dem Schweregrad der Fehlstellung ab. Eine genaue Diagnose durch den Kieferorthopäden ist hierbei wichtig.
Die kieferorthopädischen Indikationsgruppen (KIG Stufen) geben Auskunft darüber, in welchem Ausmaß eine kieferorthopädische Behandlung notwendig ist. Sie dienen als Entscheidungshilfe für die Übernahme der Kosten durch die Krankenkasse.
Parodontose: Unterschiede zur Parodontitis und wie man vorbeugen kann

Die Begriffe Parodontitis und Parodontose bezeichnen dieselbe Erkrankung, nämlich eine Entzündung des Zahnbettes. Der medizinisch korrekte Begriff ist „Parodontitis“, aber auch der Begriff „Parodontose“ wird häufig verwendet.
Die Parodontose beginnt in der Regel mit einer Zahnfleischentzündung, auch Gingivitis genannt. Wenn diese Entzündung nicht rechtzeitig behandelt wird, greift sie auf das umliegende Bindegewebe und die Kieferknochen über und entwickelt sich zu einer Parodontose.
Typische Symptome einer Parodontose sind Zahnfleischbluten und Mundgeruch. Das Zahnfleisch zieht sich zurück, die Zahnhälse liegen frei und die Zähne können schmerzhaft auf kalte oder heiße Reize reagieren. Im fortgeschrittenen Stadium können die Zähne locker werden und es können weitere Entzündungen im Körper auftreten.
Um eine Parodontose zu diagnostizieren, misst der Zahnarzt die Tiefe der Zahntaschen mit einer kleinen Sonde. Ein Blutindex wird ebenfalls ermittelt, um den Grad der Entzündung festzustellen.
Eine unbehandelte Parodontose kann zu Lockerung und Verlust der Zähne führen. Zusätzlich besteht das Risiko von weiteren Folgeerkrankungen im Körper.
Um einer Parodontose vorzubeugen, ist eine gute Mundhygiene entscheidend. Regelmäßiges Zähneputzen, auch zwischen den Zähnen, sowie die Verwendung von Zahnseide oder Interdentalbürsten sind wichtig. Eine gesunde Ernährung und der Verzicht auf Rauchen können ebenfalls zur Vorbeugung beitragen.
Bei einer Parodontosebehandlung reinigt der Zahnarzt die Zahnoberfläche, entfernt Bakterien und entzündetes Gewebe. In fortgeschrittenen Fällen kann ein chirurgischer Eingriff notwendig sein. Zusätzlich kann eine Behandlung mit Antibiotika oder Lasertherapie eingesetzt werden.
Um freiliegende Zahnhälse in Folge von Parodontalerkrankungen zu behandeln, kann ein mikrochirurgischer Eingriff unter dem OP-Mikroskop durchgeführt werden. Dabei wird eigenes Gewebe verwendet, um die ästhetische Rehabilitation am Zahnhals vorzunehmen.
Eine Parodontose kann auch mit anderen Erkrankungen wie Osteoporose oder Diabetes zusammenhängen. Es ist wichtig, diese Zusammenhänge zu beachten und gegebenenfalls eine ganzheitliche Behandlung anzustreben.
Ein neuer Zahnersatz bei Parodontose kann sinnvoll sein, um verloren gegangene Zähne zu ersetzen und das Kauen und Sprechen zu verbessern. Die beste Lösung für Zahnersatz bei Parodontose hängt von individuellen Faktoren ab und sollte mit dem Zahnarzt besprochen werden.
Eine Implantatversorgung nach einer Parodontosebehandlung kann in Frage kommen, wenn das Zahnfleisch und der Kieferknochen ausreichend stabil sind. Eine genaue Untersuchung durch den Zahnarzt ist notwendig, um die Eignung für Implantate festzustellen.
Eine unsichtbare Zahnspange wie Invisalign kann auch bei Parodontose verwendet werden, um Zahnfehlstellungen zu korrigieren. Die genaue Eignung sollte mit dem Zahnarzt besprochen werden.
Zur Behandlung von Zahnfleischrückgang gibt es verschiedene Ursachen und Möglichkeiten. Eine gute Mundhygiene und regelmäßige Kontrollen beim Zahnarzt sind wichtig. Hausmittel können unterstützend wirken, sollten aber nicht als alleinige Behandlungsmethode angesehen werden.
Für Kinder und Erwachsene gibt es verschiedene Arten von Zahnspangen zur Korrektur von Zahnfehlstellungen. Die Auswahl der geeigneten Art hängt vom individuellen Fall ab und sollte mit dem Kieferorthopäden besprochen werden.
Die Kosten für ein Zahnimplantat können je nach individuellem Fall variieren. Es ist wichtig, sich vorab über die Kosten zu informieren und gegebenenfalls eine Kostenübernahme durch die Krankenkasse zu prüfen.
Zahnfehlstellungen können verschiedene Ursachen haben und sollten frühzeitig behandelt werden, um Folgeerkrankungen zu vermeiden. Die Korrekturkosten hängen vom individuellen Fall ab und sollten mit dem Kieferorthopäden besprochen werden.
Die kieferorthopädischen Indikationsgruppen (KIG Stufen) dienen dazu, den Schweregrad einer Fehlstellung des Gebisses einzustufen. Sie helfen bei der Entscheidung über eine kieferorthopädische Behandlung.
Insgesamt ist eine gute Mundhygiene und regelmäßige zahnärztliche Kontrollen entscheidend, um Parodontose vorzubeugen. Eine gesunde Ernährung und der Verzicht auf Rauchen können ebenfalls dazu beitragen.
Parodontose: Risiken und Folgeerkrankungen bei unbehandelter Zahnbetterkrankung

Eine unbehandelte Parodontose kann zu einer Reihe von Risiken und Folgeerkrankungen führen. Dazu gehören:
1. Zahnverlust: Wenn die Entzündung des Zahnbettes fortschreitet, können die Zähne ihre Verankerung verlieren und schließlich ausfallen.
2. Knochenabbau: Die Entzündung kann den Kieferknochen angreifen und zu einem Abbau des Knochens führen. Dadurch wird das Fundament der Zähne geschwächt und ihr Verlust begünstigt.
3. Abszesse: Bakterien, die sich in den entzündeten Bereichen ansammeln, können Abszesse verursachen. Dies sind mit Eiter gefüllte Taschen, die Schmerzen und Schwellungen verursachen können.
4. Mundgeruch: Eine Parodontose geht oft mit Mundgeruch einher, da sich in den entzündeten Bereichen Bakterien vermehren.
5. Herz-Kreislauf-Erkrankungen: Es besteht eine Verbindung zwischen Parodontose und Herzerkrankungen wie Herzinfarkt und Schlaganfall. Die genaue Ursache dieser Verbindung ist noch nicht vollständig geklärt, aber es wird angenommen, dass die Entzündungsprozesse im Mundraum zu systemischen Entzündungen führen können, die das Risiko für Herz-Kreislauf-Erkrankungen erhöhen.
6. Diabetes: Menschen mit Diabetes haben ein höheres Risiko für Parodontose. Umgekehrt kann eine unbehandelte Parodontose den Blutzuckerspiegel bei Diabetikern schwerer kontrollierbar machen.
7. Osteoporose: Es gibt Hinweise darauf, dass Parodontose und Osteoporose miteinander verbunden sein können. Beide Erkrankungen betreffen den Knochenabbau, und es wird angenommen, dass sie sich gegenseitig beeinflussen können.
Es ist wichtig zu beachten, dass eine rechtzeitige Behandlung der Parodontose das Risiko von Komplikationen erheblich reduzieren kann. Regelmäßige zahnärztliche Untersuchungen und eine gute Mundhygiene sind entscheidend, um das Fortschreiten der Erkrankung zu verhindern.
Parodontose-Behandlung: Welche Maßnahmen ergreift der Zahnarzt?

Die Parodontitis, auch als Parodontose bezeichnet, ist eine bakterielle Entzündung des Zahnbettes. Sie kann zu Lockerung und Verlust der Zähne führen. Etwa die Hälfte der erwachsenen Bevölkerung in Deutschland leidet unter dieser Erkrankung. Die Parodontose ist eine Entzündung des Zahnbettes, die sich von einer Zahnfleischentzündung (Gingivitis) entwickelt. Sie kann schmerzfrei verlaufen und unbemerkt bleiben, bis sie im fortgeschrittenen Stadium Schmerzen verursacht.
Typische Symptome einer Parodontose sind Zahnfleischbluten und Mundgeruch. Weitere Anzeichen können Zahnfleischrückgang, freiliegende Zahnhälse, schmerzhafte Reaktionen auf kalte und heiße Reize, lockere Zähne sowie weitere Entzündungen im Körper sein.
Der Zahnarzt stellt die Diagnose mittels einer Messsonde und dem Blutindex PSI. Dabei misst er die Taschentiefe an jedem einzelnen Zahn und ermittelt den Grad der Entzündung.
Eine unbehandelte Parodontitis kann zu verschiedenen Risiken und Folgeerkrankungen führen. Dazu gehören Zahnverlust, Knochenabbau im Kieferbereich, Herz-Kreislauf-Erkrankungen, Diabetes oder Osteoporose.
Um einer Parodontose vorzubeugen, ist eine gute Mundhygiene essentiell. Regelmäßiges und gründliches Zähneputzen sowie die Verwendung von Zahnseide oder Interdentalbürsten sind wichtige Maßnahmen. Zudem sollte auf eine gesunde Ernährung geachtet werden, die reich an Vitaminen und Mineralstoffen ist.
Die Behandlung der Parodontitis erfolgt durch den Zahnarzt. Dabei werden die Bakterien entfernt und die Entzündung bekämpft. Je nach Stadium der Erkrankung kann auch ein chirurgischer Eingriff notwendig sein. Zusätzlich können Antibiotika eingesetzt werden.
Bei freiliegenden Zahnhälsen in Folge von Parodontalerkrankungen kann der Zahnarzt einen mikrochirurgischen Eingriff vornehmen, um das Gewebe am Zahnhals wiederherzustellen.
Es besteht eine Verbindung zwischen Parodontose und Osteoporose sowie Parodontose und Diabetes. Eine gute Behandlung der Parodontitis kann sich positiv auf diese Erkrankungen auswirken.
Bei einer fortgeschrittenen Parodontose ist ein neuer Zahnersatz oft sinnvoll. Die beste Lösung hängt von individuellen Faktoren ab und sollte mit dem Zahnarzt besprochen werden. Eine Implantatversorgung kann nach einer erfolgreichen Parodontosebehandlung in Frage kommen.
Eine unsichtbare Zahnspange wie Invisalign kann auch bei Parodontose eingesetzt werden, um Fehlstellungen zu korrigieren.
Zum Thema Zahnfleischrückgang gibt es verschiedene Ursachen, Möglichkeiten zum Aufbau des Gewebes und Hausmittel zur Unterstützung der Heilung.
Für Kinder und Erwachsene gibt es unterschiedliche Arten von Zahnspangen zur Korrektur von Fehlstellungen. Die Kosten variieren je nach Art der Spange und Dauer der Behandlung.
Die Kosten für ein Zahnimplantat können je nach individuellen Faktoren variieren. Es ist ratsam, sich vorab bei einem Zahnarzt über die genauen Kosten zu informieren.
Zahnfehlstellungen können verschiedene Ursachen haben und sollten korrigiert werden, um weitere Probleme zu vermeiden. Die Kosten für die Korrektur hängen von der Art der Fehlstellung und der gewählten Behandlungsmethode ab.
Die KIG-Stufen sind eine Einteilung zur Beurteilung von kieferorthopädischen Indikationen bei Kindern. Sie helfen dabei, den Behandlungsbedarf festzustellen.
Insgesamt ist es wichtig, frühzeitig eine Parodontosebehandlung durchführen zu lassen, um Folgeerkrankungen zu vermeiden und den Zahnerhalt zu gewährleisten. Eine gute Mundhygiene und regelmäßige Kontrolltermine beim Zahnarzt sind ebenfalls wichtige Maßnahmen zur Vorbeugung.
Parodontose und Zahnersatz: Sinnvoll oder nicht?

Welcher Zahnersatz ist die beste Lösung bei Parodontose?
Bei fortgeschrittener Parodontose kann es notwendig sein, Zähne zu ersetzen. Die beste Lösung hängt von verschiedenen Faktoren ab, wie zum Beispiel der Anzahl der betroffenen Zähne, dem Zustand des Kieferknochens und den individuellen Bedürfnissen des Patienten. In einigen Fällen können festsitzende Brücken oder Implantate eine gute Option sein, um fehlende Zähne zu ersetzen. Bei einem größeren Zahnverlust kann auch eine Prothese in Betracht gezogen werden.
Kommt eine Implantatversorgung nach einer Parodontosebehandlung in Frage?
Ja, eine Implantatversorgung kann auch nach einer erfolgreichen Parodontosebehandlung in Frage kommen. Allerdings ist es wichtig, dass das entzündete Gewebe vollständig abgeheilt ist und der Kieferknochen ausreichend stabil ist, um ein Implantat aufnehmen zu können. Der Zahnarzt wird den Zustand des Kieferknochens genau untersuchen und gegebenenfalls weitere Maßnahmen empfehlen, um eine erfolgreiche Implantation zu ermöglichen.
Wie sinnvoll ist ein neuer Zahnersatz bei Parodontose?
Ein neuer Zahnersatz kann sehr sinnvoll sein, um die Funktion und Ästhetik des Gebisses wiederherzustellen. Durch die Parodontose kann es zu einem Verlust von natürlichen Zähnen kommen, was das Kauen und Sprechen erschwert und das Selbstbewusstsein beeinträchtigen kann. Mit einem passenden Zahnersatz können diese Probleme behoben werden. Es ist jedoch wichtig, dass die Parodontose vor der Versorgung mit Zahnersatz erfolgreich behandelt wird, um weiteren Schaden zu vermeiden.
Behandlung freiliegender Zahnhälse in Folge von Parodontalerkrankungen
Freiliegende Zahnhälse sind eine häufige Folge von Parodontalerkrankungen wie Parodontose. Durch den Rückgang des Zahnfleisches werden die empfindlichen Zahnhälse nicht mehr ausreichend geschützt und können schmerzhaft auf äußere Reize reagieren. Die Behandlung besteht in der Regel darin, die Ursache der freiliegenden Zahnhälse zu behandeln, zum Beispiel durch eine professionelle Zahnreinigung oder eine spezielle Mundhygieneanleitung. In einigen Fällen kann auch eine zahnärztliche Behandlung wie eine Wurzeldeckung notwendig sein, um die empfindlichen Bereiche abzudecken und vor weiterem Schaden zu schützen.
Unsichtbare Zahnspange (Invisalign) bei Parodontose?
Eine unsichtbare Zahnspange wie Invisalign kann auch bei Patienten mit Parodontose eingesetzt werden. Allerdings ist es wichtig, dass die Parodontitis vor Beginn der kieferorthopädischen Behandlung erfolgreich behandelt wurde und der Zustand des Zahnfleisches stabil ist. Der Zahnarzt oder Kieferorthopäde wird den individuellen Fall bewerten und gegebenenfalls weitere Maßnahmen empfehlen, um eine erfolgreiche Behandlung zu gewährleisten. Es ist wichtig, während der Behandlung mit Invisalign eine gute Mundhygiene aufrechtzuerhalten, um das Risiko einer erneuten Entzündung zu minimieren.
Zahnfleischrückgang: Ursachen, Aufbauen & Hausmittel
Der Zahnfleischrückgang ist ein häufiges Symptom von Parodontose. Die Ursachen können vielfältig sein, wie zum Beispiel unzureichende Mundhygiene, Rauchen oder genetische Veranlagung. Um das Zahnfleisch wieder aufzubauen, ist es wichtig, die zugrunde liegende Parodontose erfolgreich zu behandeln. Der Zahnarzt kann verschiedene Maßnahmen ergreifen, um den Zahnfleischrückgang zu stoppen und das Gewebe wieder aufzubauen. In einigen Fällen können auch Hausmittel wie regelmäßiges Ölziehen oder die Anwendung von Kamillentee als Spülung unterstützend wirken. Es ist jedoch wichtig, dass diese Maßnahmen immer in Absprache mit dem Zahnarzt durchgeführt werden.
Zahnspange für Kinder & Erwachsene: Arten, Gründe, Behandlung
Eine Zahnspange kann sowohl bei Kindern als auch bei Erwachsenen eingesetzt werden, um Zahnfehlstellungen zu korrigieren. Es gibt verschiedene Arten von Zahnspangen, wie festsitzende Bracketspangen oder unsichtbare Aligner wie Invisalign. Die Gründe für eine kieferorthopädische Behandlung können vielfältig sein, wie zum Beispiel ästhetische Gründe oder funktionelle Probleme beim Kauen oder Sprechen. Die Behandlung mit einer Zahnspange kann je nach individuellem Fall mehrere Monate bis Jahre dauern und erfordert regelmäßige Kontrolltermine beim Zahnarzt oder Kieferorthopäden.
Wie teuer ist ein Zahnimplantat: Infos über Kosten
Die Kosten für ein Zahnimplantat können je nach individuellem Fall variieren. Es spielen verschiedene Faktoren eine Rolle, wie zum Beispiel die Anzahl der benötigten Implantate, der Zustand des Kieferknochens und das Material des Implantats. In der Regel sind Zahnimplantate eine langfristige Investition in die Gesundheit und Ästhetik des Gebisses. Es ist wichtig, dass der Zahnarzt einen individuellen Kostenplan erstellt und alle möglichen Optionen bespricht, um eine passende Lösung zu finden.
Zahnfehlstellungen: Arten, Ursachen & Korrekturkosten
Zahnfehlstellungen können verschiedene Ursachen haben, wie zum Beispiel genetische Veranlagung, verlorene Milchzähne oder Gewohnheiten wie Daumenlutschen. Es gibt verschiedene Arten von Zahnfehlstellungen, wie zum Beispiel Überbiss, Unterbiss oder Engstand. Die Korrekturkosten hängen von verschiedenen Faktoren ab, wie zum Beispiel dem Schweregrad der Fehlstellung und der gewählten Behandlungsmethode. Eine kieferorthopädische Behandlung kann je nach individuellem Fall mehrere tausend Euro kosten. Es ist wichtig, dass der Zahnarzt oder Kieferorthopäde einen individuellen Kostenplan erstellt und alle möglichen Optionen bespricht.
KIG Stufen: Alle kieferorthopädische Indikationsgruppen
Die KIG-Stufen (kieferorthopädische Indikationsgruppen) werden zur Einteilung von Zahnfehlstellungen verwendet. Sie dienen als Richtlinie für die Notwendigkeit einer kieferorthopädischen Behandlung und helfen dem Zahnarzt oder Kieferorthopäden bei der Planung der Therapie. Es gibt insgesamt fünf KIG-Stufen, wobei KIG 1 die geringste Ausprägung von Zahnfehlstellungen darstellt und KIG 5 die schwerste. Die Einteilung in eine bestimmte KIG-Stufe erfolgt anhand von festgelegten Kriterien wie zum Beispiel dem Grad der Fehlstellung und dem Einfluss auf die Funktion des Gebisses.
Unsichtbare Zahnspange (Invisalign) bei Parodontose: Eine Alternative zur herkömmlichen Behandlung?

Eine unsichtbare Zahnspange, wie Invisalign, kann eine Alternative zur herkömmlichen Behandlung von Parodontose sein. Bei dieser Methode werden transparente Kunststoffschienen verwendet, die individuell angepasst werden und die Zähne in die richtige Position bringen. Im Vergleich zu herkömmlichen Zahnspangen sind sie kaum sichtbar und können einfach herausgenommen werden.
Die unsichtbare Zahnspange kann auch bei Patienten mit Parodontose eingesetzt werden, da sie keine zusätzliche Belastung für das entzündete Gewebe darstellt. Sie ermöglicht eine schonende Korrektur der Zahnstellung, ohne dass dabei das Zahnbett weiter geschädigt wird.
Allerdings ist es wichtig zu beachten, dass die unsichtbare Zahnspange allein nicht ausreicht, um die Parodontose zu behandeln. Es ist notwendig, parallel dazu eine gründliche Reinigung der Zähne und des Zahnbetts durchzuführen sowie eventuell weitere therapeutische Maßnahmen wie Scaling und Root planing oder Antibiotikatherapie einzusetzen.
Die Entscheidung für eine unsichtbare Zahnspange als alternative Behandlungsmethode bei Parodontose sollte immer in Absprache mit dem behandelnden Zahnarzt getroffen werden. Er kann den individuellen Fall bewerten und die bestmögliche Therapieoption empfehlen.
Parodontose ist eine ernsthafte Erkrankung des Zahnfleisches und des umgebenden Gewebes. Sie wird durch Bakterien verursacht und kann zu Zahnverlust führen. Regelmäßige Zahnpflege, professionelle Reinigungen und eine gesunde Ernährung sind entscheidend, um Parodontose vorzubeugen. Bei Anzeichen wie Zahnfleischbluten oder Zahnlockerung sollte umgehend ein Zahnarzt konsultiert werden, um eine rechtzeitige Behandlung einzuleiten und schwerwiegende Komplikationen zu vermeiden.

