Ein Knochenmarködem ist eine schmerzhafte Erkrankung, die durch eine Schwellung im Knochenmark verursacht wird. In dieser Einführung werden wir den Ursprung, die Symptome und die Behandlungsmöglichkeiten eines Knochenmarködems genauer betrachten. Lassen Sie uns herausfinden, was genau ein Knochenmarködem ist und wie es behandelt werden kann.
- Neue Altersklassen-Tabelle für das Jahr 2023 veröffentlicht!
- DAB-Antenne selbst bauen: Optimiere deinen Empfang!
- Festivalbänder selbst gestalten: Individuelle Designs & hochwertige Qualität
- Was ist eine Suggestivfrage und wie wird sie eingesetzt?
- Doppelkinn loswerden: Effektive Tipps und Tricks gegen das lästige Kinnfett
Knochenmarködem: Ursachen, Diagnose und Behandlung im Überblick

Ein Knochenmarködem tritt auf, wenn sich Flüssigkeit im Knochenmark ansammelt, vor allem in den Gelenken. Dies kann zu Schmerzen und Mikrofrakturen führen. Die häufigsten Ursachen für ein Knochenmarködem sind Verletzungen wie Frakturen, wiederholte Belastungen bei geschädigter Knorpelsubstanz (Arthrose) oder Erkrankungen wie Osteoarthritis.
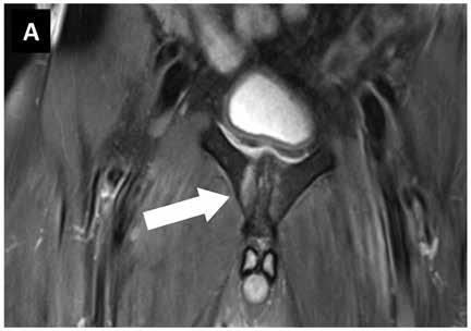
Die Diagnose eines Knochenmarködems erfolgt in der Regel mittels MRT, da es auf Röntgen- oder CT-Scans nicht erkennbar ist. Eine genaue Anamnese und Untersuchung sind ebenfalls wichtig, um die zugrunde liegende Ursache zu identifizieren.
Die Behandlung eines Knochenmarködems hängt von der Art, Lage und Schwere ab. In vielen Fällen löst es sich mit Ruhe und Physiotherapie innerhalb von vier bis zwölf Monaten von selbst auf. In schwereren Fällen können konservative Therapien wie Krückengehen, Physiotherapie und Medikamente eingesetzt werden.
In einigen Fällen kann eine chirurgische Dekompression des Knochens erforderlich sein, um den Druck zu entlasten. Moderne Therapieformen wie die Kernspinresonanztherapie (MBST) oder die extrakorporale-knochenergetische Stoßwellentherapie (ESWT) haben sich auch als vielversprechend erwiesen.
Es ist wichtig, die zugrunde liegende Ursache des Knochenmarködems zu behandeln, um weitere Schäden zu vermeiden. Dies kann die Behandlung von Osteoporose, Arthrose oder anderen Erkrankungen umfassen.
Die richtige Diagnose und Therapie für ein Knochenmarködem ist entscheidend, um irreparable Schäden an den Gelenken zu verhindern. Es ist wichtig, bei wiederkehrenden Schmerzen einen Arzt aufzusuchen und keine Selbstdiagnosen vorzunehmen.
Knochenmarködem: Symptome, Ursachen und Therapieoptionen
Ein Knochenmarködem ist eine häufige Erkrankung, die jedoch oft übersehen wird. Die Betroffenen bagatellisieren ihre Schmerzen und riskieren dadurch irreparable Schäden an den Gelenken. Es ist wichtig, keine Selbstdiagnosen zu stellen und bei wiederkehrenden Schmerzen einen Arzt aufzusuchen.
Ein Knochenmarködem tritt auf, wenn sich Flüssigkeit im Knochenmark ansammelt, in der Regel in den Gelenken. Dieser Flüssigkeitsansammlung übt von innen Druck auf den Knochen aus und führt zu Schmerzen und Mikrofrakturen. Ursachen für ein Knochenmarködem können Verletzungen wie Frakturen, wiederholte Verletzungen an derselben Stelle oder Erkrankungen wie Osteoarthritis sein.
Die meisten Knochenmarködeme lösen sich innerhalb von vier bis zwölf Monaten von selbst auf. Doch in manchen Fällen bleiben sie länger bestehen und können zu einer Knochennekrose führen. Eine korrekte Diagnose der zugrunde liegenden Ursache ist entscheidend für die richtige Behandlung.
Knochenmarködeme werden typischerweise mit einem MRT identifiziert, da sie auf Röntgen- oder CT-Scans nicht erkennbar sind. Eine genaue Diagnose kann auch durch eine 3D-Analyse mittels spezieller radiologischer Untersuchungstechniken gestellt werden. Invasive Verfahren wie Knochenbiopsien sind heutzutage selten erforderlich.
Die Behandlung eines Knochenmarködems hängt von der Ursache, Lage und Schwere ab. Traditionelle konservative Behandlungen beinhalten Ruhe, Physiotherapie und die Einnahme von Schmerzmitteln. Moderne Therapien wie die Kernspinresonanztherapie (MBST) und die extrakorporale-knochenergetische Stoßwellentherapie (ESWT) haben sich ebenfalls als vielversprechend erwiesen.
Es ist wichtig, nicht nur das Ödem zu behandeln, sondern auch die zugrunde liegende Ursache anzugehen, wie z.B. Osteoporose oder Arthrose. Die Dekompression des Knochenmarks oder eine Infusionstherapie können in manchen Fällen erforderlich sein, jedoch kann ein operativer Eingriff oft vermieden werden.
Insgesamt gibt es verschiedene invasiven und nicht-invasiven Therapieoptionen für das Knochenmarködem. Die Wahl der Behandlung richtet sich nach dem individuellen Fall und sollte mit einem Facharzt besprochen werden.
Quelle:
[1] https://www.ncbi.nlm.nih.gov/pmc/articles/PMC6283770/
Knochenmarködem: Diagnose, Behandlung und mögliche Komplikationen
Ein Knochenmarködem kann durch eine ausführliche Anamnese und eine MRT-Untersuchung diagnostiziert werden. Röntgen- oder CT-Scans können das Ödem nicht erkennen. Bei unklaren Fällen kann auch eine 3D-Analyse mittels spezieller radiologischer Untersuchungstechniken durchgeführt werden. Knochentumore oder Infektionen können ebenfalls zu einem Knochenmarködem führen und sollten bei der Diagnose in Betracht gezogen werden.
Die Behandlung eines Knochenmarködems hängt von seiner Art, Lage und Schwere ab. Traditionell konservative Therapien umfassen die Vermeidung einer Belastung des betroffenen Knochens, Physiotherapie, Schmerzmittel und entzündungshemmende Medikamente. In einigen Fällen kann eine Dekompression des Knochenmarks durch Anbohrung notwendig sein.
Moderne Therapieformen wie die Magnetresonanztherapie (MBST) haben vielversprechende Ergebnisse gezeigt. Diese nicht-invasive Behandlungsmethode kann das Ödem effektiv behandeln, ohne dass ein operativer Eingriff erforderlich ist. Die extrakorporale-knochenergetische Stoßwellentherapie (ESWT) hat sich ebenfalls als wirksam erwiesen, insbesondere bei der Behandlung der frühen Stadien der Osteonekrose.
Es ist wichtig, auch die zugrunde liegende Ursache des Knochenmarködems zu behandeln. Dies kann Osteoporose, Arthrose oder andere entzündliche Erkrankungen umfassen. Eine ganzheitliche Therapie zielt darauf ab, die Ursache anzugehen und das Ödem zu behandeln.
Komplikationen eines Knochenmarködems können eine Knochennekrose sein, bei der der Knochen abstirbt, oder ein Einbruch des Gelenksanteils. Daher ist es wichtig, das Ödem frühzeitig zu erkennen und angemessen zu behandeln.
Es ist ratsam, bei wiederkehrenden Schmerzen einen Arzt aufzusuchen und keine Selbstdiagnosen vorzunehmen. Eine korrekte Diagnose und eine geeignete Behandlung sind entscheidend, um irreparable Schäden an den Gelenken zu vermeiden.
Knochenmarködem: Was es ist und wie es behandelt werden kann

Ein Knochenmarködem tritt auf, wenn sich Flüssigkeit im Knochenmark ansammelt, in der Regel in den Gelenken. Diese Ansammlung von Flüssigkeit übt Druck auf den Knochen aus und führt zu Schmerzen und Mikrofrakturen.
Die häufigsten Ursachen für ein Knochenmarködem sind Verletzungen wie Frakturen, wiederholte Belastungen des Knochens bei geschädigter Knorpelsubstanz (Arthrose) oder Erkrankungen wie Osteoarthritis. Es wird oft übersehen, da Betroffene ihre Schmerzen bagatellisieren und keine Selbstdiagnosen stellen sollten.
Eine ausführliche Anamnese ist die Grundlage für die Diagnose eines Knochenmarködems. Die Diagnose erfolgt in der Regel durch ein MRT, da Röntgen- oder CT-Scans das Ödem nicht erkennen können. Eine genaue Gewebeanalyse kann auch andere Vorgänge wie Entzündungen identifizieren.
Die Behandlung eines Knochenmarködems hängt von der Art, Lage und Schwere ab. Traditionelle konservative Therapien umfassen Ruhe, Physiotherapie und die Einnahme von Schmerzmitteln. In schwereren Fällen kann eine Dekompression des Knochenmarks oder eine Infusionstherapie erforderlich sein.
Neuere Therapieformen wie die Kernspinresonanztherapie (MBST) oder die extrakorporale-knochenergetische Stoßwellentherapie (ESWT) haben sich als vielversprechend erwiesen. Diese Therapien können das Ödem reduzieren, Schmerzen lindern und die Funktion des Gelenks verbessern.
Es ist wichtig, auch die zugrunde liegende Ursache des Knochenmarködems zu behandeln, wie z.B. Osteoporose oder Arthrose. Die Behandlung sollte immer individuell auf den Patienten abgestimmt sein und kann eine Kombination aus verschiedenen Therapieformen umfassen.
Es ist ratsam, bei wiederkehrenden Schmerzen einen Arzt aufzusuchen und keine Selbstdiagnosen zu stellen. Eine frühzeitige Diagnose und geeignete Behandlung können irreparable Schäden an den Gelenken verhindern.
Knochenmarködem: Ursachen, Symptome und geeignete Therapiemethoden
Ein Knochenmarködem tritt auf, wenn sich Flüssigkeit im Knochenmark ansammelt, in der Regel in den Gelenken. Dies kann durch Verletzungen wie Frakturen, wiederholte Mikrofrakturen oder Erkrankungen wie Osteoarthritis verursacht werden. Die Flüssigkeitsansammlung übt Druck auf den Knochen aus und führt zu Schmerzen und möglichen Mikrofrakturen.
Die Diagnose eines Knochenmarködems erfolgt in der Regel mittels MRT, da Röntgen- oder CT-Scans das Ödem nicht erkennen können. Eine genaue Anamnese ist wichtig für die Diagnosestellung und die Einleitung einer geeigneten Behandlung.
Es gibt verschiedene Arten von Knochenmarködemen, die nach Ursache, Körperregion oder Art des MRT-Signals klassifiziert werden können. Häufig treten sie in den unteren Gliedmaßen auf, insbesondere bei Wirbelsäulen-, Hüft-, Knie- oder Knöchelverletzungen.
Die Behandlung eines Knochenmarködems hängt von der Art, Lage und Schwere ab. Traditionelle konservative Therapien umfassen Ruhe, Physiotherapie und entzündungshemmende Medikamente. In schwereren Fällen kann eine Dekompression des Knochenmarks oder eine Infusionstherapie erforderlich sein.
Neuere Therapieformen wie die Kernspinresonanztherapie (MBST) oder die extrakorporale-knochenergetische Stoßwellentherapie (ESWT) haben vielversprechende Ergebnisse gezeigt und können eine Operation oft vermeiden.
Es ist wichtig, nicht selbst zu diagnostizieren und bei wiederkehrenden Schmerzen einen Arzt aufzusuchen. Eine genaue Diagnose und geeignete Therapie sind entscheidend, um irreversible Schäden an den Gelenken zu verhindern.
Knochenmarködem: Diagnoseverfahren, Behandlungsoptionen und Prognose

Ein Knochenmarködem kann mit verschiedenen Diagnoseverfahren festgestellt werden. Die häufigste Methode ist die Magnetresonanztomographie (MRT), da ein Knochenmarködem auf Röntgen- oder CT-Scans nicht erkennbar ist. Eine MRT liefert auch weitere Informationen über den Zustand des Gewebes und kann dazu beitragen, andere Erkrankungen auszuschließen.
Die Behandlung eines Knochenmarködems hängt von der Art, Lage und Schwere ab. Es gibt keine Standardbehandlung, da die Erkrankung vielschichtig ist. In der Regel besteht die konservative Behandlung aus Ruhe für den betroffenen Knochen, Physiotherapie und Medikamenten zur Schmerzlinderung und Entzündungshemmung.
In einigen Fällen kann eine Dekompression des Knochenmarks durch Anbohrung notwendig sein, um den Druck im Inneren zu entlasten. Moderne Therapieformen wie die Magnetfeldtherapie (MBST) können jedoch oft einen operativen Eingriff vermeiden.
Nach der Entlastung des Knochens muss immer die zugrunde liegende Ursache des Knochenmarködems behandelt werden. Dies kann Osteoporose, Arthrose oder andere entzündliche Erkrankungen umfassen.
Zusätzlich zu invasiven Behandlungen wie der Anbohrung des Knochens oder einer Infusionstherapie gibt es auch nicht-invasive Therapieoptionen. Die extrakorporale-knochenergetische Stoßwellentherapie (ESWT) hat sich als wirksam bei der Behandlung von Muskel-Skelett-Erkrankungen erwiesen, einschließlich des Knochenmarködems.
Die Prognose für ein Knochenmarködem hängt von verschiedenen Faktoren ab, wie der Art und Schwere des Ödems, der rechtzeitigen Diagnose und Behandlung sowie der zugrunde liegenden Ursache. Einige Knochenmarködeme lösen sich innerhalb von vier bis zwölf Monaten von selbst auf, während andere länger bestehen bleiben können und zu Komplikationen wie Knochennekrose führen können.
Es ist wichtig, bei wiederkehrenden Schmerzen einen Arzt aufzusuchen und keine Selbstdiagnosen zu stellen. Eine ausführliche Anamnese ist die Grundlage für eine korrekte Diagnose und Therapieeinleitung. Es kann hilfreich sein, einen Termin mit einem Mobilitätsexperten wie Dr. Johannes Gründler zu vereinbaren, um das persönliche Beschwerdebild zu besprechen und die richtige Behandlung einzuleiten.
Zusammenfassend ist ein Knochenmarködem eine schmerzhafte Erkrankung, bei der Flüssigkeit in das Knochenmark eindringt und Entzündungen verursacht. Es kann durch verschiedene Faktoren wie Verletzungen, Überlastung oder bestimmte medizinische Bedingungen ausgelöst werden. Eine frühzeitige Diagnose und angemessene Behandlung sind entscheidend, um langfristige Komplikationen zu vermeiden und eine schnelle Genesung zu fördern.

