In diesem Artikel geht es um die Meinungen von Zahnärzten zu schlechten Zähnen. Erfahren Sie, was Experten über dieses Thema denken und welche Tipps sie für eine bessere Zahngesundheit haben.
- Rollbraten selber machen: Leckere Rezepte und einfache Anleitung
- Das bedeutet transplantiert: Hoffnung auf ein neues Leben
- Wann kommt Scream 6 raus? Spannender neuer Teil des Slasher-Franchise
- Cannstatter Wasen: Parken leicht gemacht – Tipps zur Anreise und Parkmöglichkeiten
- Queen Mum (†101): Das bemerkenswerte Leben der ältesten britischen Königin
Die Sicht der Zahnärzte auf schlechte Zähne: Ursachen und Behandlungsmöglichkeiten

Ursachen für schlechte Zähne
Schlechte Zähne können verschiedene Ursachen haben. Eine häufige Ursache ist eine unzureichende Mundhygiene. Wenn die Zähne nicht regelmäßig und gründlich gereinigt werden, können sich Bakterien und Plaque ansammeln, was zu Karies und Zahnfleischerkrankungen führen kann. Auch eine unausgewogene Ernährung, insbesondere ein hoher Konsum von zuckerhaltigen Lebensmitteln und Getränken, kann die Gesundheit der Zähne beeinträchtigen. Rauchen und übermäßiger Alkoholkonsum sind ebenfalls schädlich für die Zahngesundheit.
Behandlungsmöglichkeiten bei schlechten Zähnen
Bei schlechten Zähnen stehen verschiedene Behandlungsmöglichkeiten zur Verfügung. Je nach Schweregrad der Zahnschäden können Füllungen, Kronen oder Implantate erforderlich sein, um die Funktion und Ästhetik der betroffenen Zähne wiederherzustellen. In einigen Fällen kann auch eine Wurzelkanalbehandlung notwendig sein, um entzündetes Gewebe zu entfernen und den betroffenen Zahn zu erhalten. Bei fortgeschrittener Parodontitis kann eine professionelle Reinigung der Zahnwurzeloberfläche notwendig sein, um die Entzündung zu stoppen und den Knochenabbau zu verhindern.
Es ist wichtig, dass Patienten regelmäßige Kontrolltermine beim Zahnarzt wahrnehmen, um potenzielle Probleme frühzeitig zu erkennen und zu behandeln. Auch eine gute Mundhygiene zu Hause, einschließlich regelmäßigem Zähneputzen und der Verwendung von Zahnseide, ist entscheidend für die Erhaltung der Zahngesundheit.
Zusammenfassend ist es wichtig, schlechte Zähne ernst zu nehmen und rechtzeitig professionelle Hilfe in Anspruch zu nehmen. Die Zahnärzte im Schloss Berlin-Steglitz stehen Ihnen bei allen Fragen rund um die Zahngesundheit zur Seite und bieten individuelle Behandlungsmöglichkeiten an, um Ihre Zähne wiederherzustellen und langfristig gesund zu halten.
Wie Zahnärzte über schlechte Zähne denken und wie sie helfen können

Die Sicht der Zahnärzte auf schlechte Zähne
Zahnärzte betrachten schlechte Zähne nicht als persönliches Versagen ihrer Patienten. Sie verstehen, dass viele Menschen mit Angst oder anderen psychischen Belastungen zu kämpfen haben, die sich negativ auf ihre Zahngesundheit auswirken können. Zahnärzte nehmen diese Ängste ernst und sind daran interessiert, ihren Patienten zu helfen.
Wie Zahnärzte helfen können
Zahnärzte bieten verschiedene Behandlungsmöglichkeiten an, um Patienten mit schlechten Zähnen zu helfen. Sie nehmen sich Zeit, um die individuellen Bedürfnisse jedes Patienten zu verstehen und eine passende Behandlung vorzuschlagen. Von der Reparatur von Zahnlücken bis hin zur Behandlung von Entzündungen stehen verschiedene Optionen zur Verfügung.
Zusätzlich bieten viele Zahnärzte Unterstützung für Angstpatienten an. Sie können beruhigende Maßnahmen wie Sedierung oder Vollnarkose anbieten, um den Besuch beim Zahnarzt angenehmer zu gestalten. Auch die Schmerzbehandlung nach einer Behandlung wird individuell auf jeden Patienten abgestimmt.
Es ist wichtig, dass Patienten mit schlechten Zähnen offen mit ihrem Zahnarzt über ihre Ängste sprechen. Die meisten Zahnärzte sind verständnisvoll und möchten ihren Patienten dabei helfen, ihre Zahngesundheit wiederherzustellen.
Zahnärzte und schlechte Zähne: Verständnis, Behandlung und Lösungen

Verständnis für Patienten mit Zahnarztangst
Es ist wichtig, dass Zahnärzte Verständnis für Patienten mit Zahnarztangst zeigen. Oftmals hat die Angst vor dem Zahnarztbesuch eine tieferliegende Ursache, wie negative Erfahrungen in der Kindheit oder traumatische Erlebnisse. Diese Ängste sollten ernst genommen und respektiert werden. Durch einfühlsame Kommunikation und Aufklärung über die Behandlungsschritte können Ängste reduziert werden.
Behandlungsmöglichkeiten für Patienten mit Zahnarztangst
Für Patienten mit ausgeprägter Zahnarztangst bieten die Zahnärzte im Schloss Berlin-Steglitz verschiedene Formen einer beruhigenden und schmerzarmen Behandlung an. Von leichter Sedierung bis zur Vollnarkose ist alles möglich. In Zusammenarbeit mit erfahrenen Anästhesisten wird dabei auf die Sicherheit des Patienten geachtet. Auch nach der Behandlung werden individuell angepasste schmerzstillende Medikamente verabreicht, um mögliche Schmerzen zu minimieren.
Lösungen für schlechte Zähne
Die Vernachlässigung der Zahngesundheit aufgrund von Zahnarztangst kann zu schwerwiegenden Folgen führen, wie unbehandelten Entzündungen oder dem Verlust von Zähnen. Es ist daher wichtig, regelmäßige Kontrolltermine wahrzunehmen und Zahnprobleme frühzeitig zu behandeln. Die Zahnärzte im Schloss Berlin-Steglitz bieten eine Vielzahl von Lösungen für schlechte Zähne an, wie z.B. Zahnersatz oder Parodontitis-Behandlungen. Durch eine individuelle Beratung und Behandlung können die Zähne wiederhergestellt und die Gesundheit verbessert werden.
Was Zahnärzte über schlechte Zähne denken und wie sie unterstützen können

Zahnärzte nehmen schlechte Zähne nicht persönlich
Zahnärzte verstehen, dass viele Menschen eine gewisse Angst oder Abneigung gegen den Besuch in der Zahnarztpraxis haben. Sie nehmen dies jedoch nicht persönlich, da es sich meistens um eine generelle Angst vor Gerüchen und Geräuschen handelt und nicht um eine Abneigung gegen das Team oder die Person des Zahnarztes. Die Vorstellung von einem Zahnarztbesuch kann bei manchen Patienten sogar Panikattacken hervorrufen. Diese krankhafte Angst vor dem Besuch beim Zahnarzt wird als Zahnarztphobie bezeichnet.
Schlechte Erfahrungen in der Kindheit können zu Dentalphobie führen
Die sogenannte Dentalphobie, also die Angst vor dem Zahnarzt, hat oft ihre Ursache in negativen Erfahrungen in der Kindheit. Im Laufe der Zeit kann sich diese Angst bei erwachsenen Patienten zu einer ernsthaften Störung entwickeln. Zusätzlich zu der Angst kommen oft Scham und Selbstvorwürfe aufgrund von „schlechten“ Zähnen. Die Folgen dieser krankhaften Abneigung gegenüber jedem Zahnarztbesuch sind gravierend: Zahnschmerzen werden mit Medikamenten behandelt anstatt die eigentliche Ursache zu beseitigen und Zahnlücken werden ignoriert. Sowohl die körperliche als auch die seelische Gesundheit stehen dadurch auf dem Spiel.
Zahnarztangst kann zu gesundheitlichen Problemen führen
Wenn unbehandelte Entzündungen wie Parodontitis nicht rechtzeitig behandelt werden, können sie zur Gefahr für die allgemeine Gesundheit werden. Der Verlust von Zähnen kann zudem zu sozialer Ausgrenzung führen. In Berlin gehen viele Menschen aus Angst unregelmäßig oder gar nicht zum Zahnarzt, was einen wichtigen Teil der Gesundheitsvorsorge vernachlässigt.
Unterstützung und Hilfe bei Zahnarztangst
Es ist wichtig, Ängste ernst zu nehmen und darüber zu sprechen. Bei Zahnarztangst sollte man sowohl mit dem Zahnarzt als auch mit dem Hausarzt darüber reden. Die Zahnärzte im Schloss Berlin-Steglitz bieten verschiedene Formen einer beruhigenden und schmerzarmen Behandlung an, von leichter Sedierung bis hin zur Vollnarkose. Auch nach der Behandlung können schmerzlindernde Medikamente individuell angepasst werden.
Zusammenfassend lässt sich sagen, dass es viele Möglichkeiten gibt, um Zahnarztangst wirksam zu bekämpfen. Niemand sollte seine Gesundheit aufs Spiel setzen und regelmäßige Kontrollen und Pflege der Zähne sind entscheidend. Die Zahnärzte im Schloss Berlin-Steglitz sind darauf spezialisiert, Menschen mit Zahnarztangst zu helfen und ihnen die Angst vor dem Besuch beim Zahnarzt zu nehmen.
Die Perspektive der Zahnärzte auf schlechte Zähne: Tipps und Ratschläge

Warum haben so viele Menschen Angst vor dem Zahnarzt?
Die Angst vor dem Zahnarztbesuch ist ein weit verbreitetes Phänomen. Viele Menschen haben negative Erfahrungen gemacht, sei es in der Kindheit oder im Erwachsenenalter. Diese Erfahrungen können zu einer krankhaften Abneigung gegenüber dem Zahnarzt führen. Oft spielen auch Gerüche und Geräusche in der Zahnarztpraxis eine Rolle, die bei den Betroffenen Panikattacken auslösen können.
Die Folgen von Zahnarztangst
Die Angst vor dem Zahnarzt kann schwerwiegende Folgen für die Gesundheit haben. Zahnschmerzen werden oft mit Medikamenten behandelt, anstatt die eigentliche Ursache zu beheben. Dadurch können sich unbehandelte Entzündungen entwickeln, die nicht nur die Zahngesundheit beeinträchtigen, sondern auch Auswirkungen auf den gesamten Körper haben können. Unbehandelte Zahnlücken können zu gesellschaftlicher Ausgrenzung führen und das Selbstbewusstsein stark beeinträchtigen.
Tipps und Ratschläge für Menschen mit Zahnarztangst
Wenn Sie unter Zahnarztangst leiden, ist es wichtig, dass Sie Ihre Ängste ernst nehmen und darüber sprechen. Suchen Sie das Gespräch mit Ihrem Zahnarzt und Ihrem Hausarzt, um gemeinsam nach Lösungen zu suchen. In vielen Fällen kann eine beruhigende und schmerzarme Behandlung, wie zum Beispiel eine leichte Sedierung oder Vollnarkose, helfen, die Angst zu überwinden. Auch nach der Behandlung können individuell angepasste schmerzstillende Medikamente eingesetzt werden.
Es ist wichtig zu verstehen, dass Zahnarztbesuche notwendig sind, um die Gesundheit der Zähne und des Zahnersatzes zu erhalten. Niemand sollte aus Angst vor dem Zahnarzt seine Gesundheit aufs Spiel setzen. Es gibt viele Möglichkeiten, die Zahnarztangst wirkungsvoll zu bekämpfen. Scheuen Sie sich nicht davor, Hilfe und Unterstützung zu suchen.
Zahnärzte über schlechte Zähne: Verständnis, Beratung und Behandlungsmöglichkeiten

Verständnis für Patienten mit schlechten Zähnen
Als Zahnärzte haben wir Verständnis für Menschen, die unter schlechten Zähnen leiden. Wir wissen, dass dies oft mit Ängsten und Schamgefühlen einhergeht. Uns ist bewusst, dass diese Probleme nicht einfach ignoriert werden können und dass sie einen erheblichen Einfluss auf die Lebensqualität der Betroffenen haben können. Deshalb nehmen wir uns Zeit, um Ihre individuelle Situation zu verstehen und Ihnen die bestmögliche Unterstützung anzubieten.
Beratung zur Behandlung von schlechten Zähnen
Wir bieten Ihnen eine umfassende Beratung zur Behandlung Ihrer schlechten Zähne an. Dabei gehen wir auf Ihre persönlichen Wünsche und Bedürfnisse ein und erarbeiten gemeinsam mit Ihnen einen individuellen Behandlungsplan. Wir erklären Ihnen ausführlich die verschiedenen Möglichkeiten der Zahnsanierung und klären Sie über die Vor- und Nachteile der einzelnen Optionen auf. Unser Ziel ist es, Ihnen alle Informationen zur Verfügung zu stellen, damit Sie eine fundierte Entscheidung treffen können.
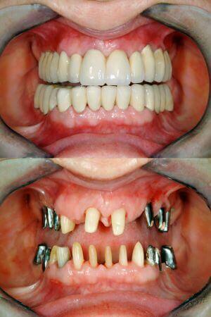
Behandlungsmöglichkeiten bei schlechten Zähnen
Wir verfügen über verschiedene Behandlungsmethoden, um Ihre schlechten Zähne wiederherzustellen. Dazu gehören unter anderem Füllungen, Kronen, Brücken oder Implantate. Je nach Ausgangssituation empfehlen wir Ihnen die für Sie am besten geeignete Lösung. Dabei legen wir großen Wert auf eine ästhetisch ansprechende und funktionale Wiederherstellung Ihrer Zähne. Unsere erfahrenen Zahnärzte verwenden modernste Techniken und Materialien, um optimale Ergebnisse zu erzielen.
– Füllungen: Bei kleineren Defekten können wir Ihre Zähne mit Füllungen aus Kunststoff oder Keramik wiederherstellen.
– Kronen: Bei größeren Schäden an den Zähnen können Kronen zum Einsatz kommen. Sie werden individuell angefertigt und über den beschädigten Zahn gesetzt, um ihn zu stabilisieren und zu schützen.
– Brücken: Wenn ein oder mehrere Zähne fehlen, können Brücken eingesetzt werden, um die Lücke zu schließen. Die benachbarten Zähne dienen dabei als Ankerpunkte für die Brücke.
– Implantate: Sind mehrere Zähne betroffen oder fehlen komplett, können Implantate eine gute Lösung sein. Dabei werden künstliche Zahnwurzeln in den Kieferknochen eingesetzt, auf denen dann Kronen oder Brücken befestigt werden.
Wir möchten Ihnen helfen, Ihre schlechten Zähne wieder in einen gesunden Zustand zu bringen und Ihnen ein strahlendes Lächeln zurückzugeben. Vereinbaren Sie gerne einen Termin in unserer Praxis in Berlin-Steglitz, damit wir gemeinsam die beste Behandlungsmöglichkeit für Sie finden können.
Bitte beachten Sie, dass dieser Text von einer KI generiert wurde und keine persönliche Beratung ersetzt. Für eine individuelle Beratung wenden Sie sich bitte an Ihren Zahnarzt.
Zahnärzte sind der Meinung, dass schlechte Zähne ernsthafte gesundheitliche Probleme verursachen können. Sie betonen die Bedeutung einer regelmäßigen Mundhygiene und empfehlen regelmäßige Zahnarztbesuche, um mögliche Probleme frühzeitig zu erkennen und zu behandeln. Die Zahnärzte ermutigen Patienten, ihre Zähne richtig zu pflegen, um eine gute Mundgesundheit aufrechtzuerhalten und langfristige Komplikationen zu vermeiden.

