Wie sieht Brustkrebs in der Mammographie aus?

Brustkrebs in der Mammographie: Eine visuelle Analyse von Tumoren. Erfahren Sie, wie Brustkrebs in mammografischen Bildern aussieht und welche Merkmale auf eine mögliche Erkrankung hinweisen können. Tauchen Sie ein in die Welt der medizinischen Bildgebung und entdecken Sie die Bedeutung einer frühzeitigen Diagnose für eine erfolgreiche Behandlung.

Mammographie-Bilder: Wie sieht Brustkrebs in der Mammographie aus?

Mammographie-Bilder: Wie sieht Brustkrebs in der Mammographie aus?

Einführung

Die Mammographie ist eine Röntgenuntersuchung der Brust und gilt als beste Methode zur Abklärung von auffälligen Symptomen. Sie wird auch zur Früherkennung von Brustkrebs eingesetzt, um kleine, noch nicht tastbare Knötchen oder Mikrokalk zu erkennen. Heutzutage wird bei der Mammographie fast ausschließlich ein digitales Röntgenverfahren verwendet, bei dem die Bilder direkt im Computer gespeichert und betrachtet werden können.

Durchführung der Mammographie

Die Mammographieaufnahmen werden in der Regel im Stehen gemacht. Die Brust wird zwischen zwei Plexiglasplatten gepresst, um das Gewebe möglichst dünn darzustellen und das Röntgenbild besser beurteilen zu können. Dieser Vorgang kann unangenehm und etwas schmerzhaft sein. Es werden Aufnahmen aus verschiedenen Richtungen gemacht: von oben nach unten und schräg von der Mitte zur Seite hin. Auch bei Frauen mit Implantaten ist die Mammographie problemlos möglich.

Zeitpunkt und Sicherheit der Mammographie

Der beste Zeitpunkt für die Durchführung einer Mammographie liegt in der ersten Zyklushälfte, während der Periode oder in der ersten Woche danach. Zu diesem Zeitpunkt ist die Brust weniger empfindlich und weicher, was zu besseren Röntgenaufnahmen führt. Bei Frauen nach den Wechseljahren ist der Zeitpunkt der Untersuchung unerheblich. Es ist jedoch wichtig zu beachten, dass nicht jeder Tumor durch eine Mammographie entdeckt wird. Schätzungsweise bleiben etwa zehn bis 15 Prozent unerkannt.

Dreidimensionale Mammographie (DBT)

Wenn der Befund der zweidimensionalen Mammographie unklar ist oder eine Stelle nicht gut diagnostizierbar ist, kann ein modernes dreidimensionales Mammographieverfahren namens digitale Brust-Tomosynthese (DBT) eingesetzt werden. Bei diesem Verfahren werden mehrere Schichten der Brust aufgenommen, um ein dreidimensionales Bild zu erzeugen. Die DBT ist sensitiver als die herkömmliche 2D-Mammographie, führt jedoch auch zu mehr falsch positiven Befunden.

Zusammenfassung

Die Mammographie ist eine wichtige Methode zur Abklärung von auffälligen Symptomen und zur Früherkennung von Brustkrebs. Sie ermöglicht die Erkennung von kleinen Knötchen und Mikrokalk in der Brust. Die Durchführung erfolgt meist im Stehen mit gepressten Brüsten zwischen Plexiglasplatten. Der beste Zeitpunkt für die Untersuchung liegt in der ersten Zyklushälfte bei Frauen vor den Wechseljahren. Bei unklaren Befunden kann eine dreidimensionale Mammographie (DBT) eingesetzt werden, die sensitiver ist, aber auch zu mehr falsch positiven Ergebnissen führen kann.

Brustkrebs-Diagnose: Was zeigt die Mammographie?

Die Mammographie ist eine Röntgenuntersuchung der Brust, die sowohl zur Abklärung von auffälligen Symptomen als auch zur Früherkennung von Brustkrebs eingesetzt wird. Sie ermöglicht die Erkennung sehr kleiner Knoten oder Mikrokalk, die oft ein Vorstadium von Brustkrebs darstellen. Heutzutage wird fast ausschließlich ein digitales Röntgenverfahren verwendet, bei dem die Bilder direkt im Computer gespeichert und betrachtet werden können. Die Aufnahmen werden im Stehen gemacht, indem die Brust zwischen zwei Plexiglasplatten gepresst wird, um das Gewebe möglichst dünn zu machen und das Röntgenbild besser beurteilen zu können. Die Untersuchung kann unangenehm und etwas schmerzhaft sein. Sowohl bei Frauen mit Implantaten als auch bei Frauen nach den Wechseljahren ist die Mammographie problemlos und sicher möglich. Es wird empfohlen, vor der Untersuchung auf Deos zu verzichten, da sie einen Schleier auf der Haut hinterlassen können, der in der Röntgenaufnahme sichtbar ist. Der beste Zeitpunkt für Mammographien liegt in der ersten Zyklushälfte, während der Periode oder in der ersten Woche danach, da die Brust dann weniger empfindlich und weicher ist. Wenn es um die Auswertung der Röntgenaufnahmen geht, hängt die Sicherheit des Arztes unter anderem von der Dichte des Gewebes ab. Bei jüngeren Frauen oder solchen, die hormonhaltige Medikamente einnehmen oder stillen, kann die Röntgenaufnahme möglicherweise weniger aussagekräftig sein. In solchen Fällen kann es sinnvoll sein, die Medikamente im Monat der Untersuchung abzusetzen oder andere bildgebende Verfahren zu nutzen. Wenn der Befund der zweidimensionalen Mammographie unklar ist oder eine Stelle nicht gut diagnostizierbar ist, kann ein modernes dreidimensionales Mammographie-Verfahren namens digitale Brust-Tomosynthese (DBT) verwendet werden. Die DBT ist sensitiver als die herkömmliche 2D-Mammographie, hat aber auch mehr falsch positive Befunde zur Folge.

Mammographie-Ergebnisse: Wie erkennt man Brustkrebs auf den Bildern?

Mammographie-Ergebnisse: Wie erkennt man Brustkrebs auf den Bildern?

Digitales Röntgenverfahren

Bei der Mammographie wird heutzutage fast ausschließlich ein digitales Röntgenverfahren verwendet. Dabei werden die Bilder direkt im Computer gespeichert und können auf dem Bildschirm betrachtet und vergrößert werden.

Aufnahmen im Stehen

Die Mammographie-Aufnahmen werden in der Regel im Stehen gemacht. Die Brust wird zwischen zwei Plexiglasplatten gepresst, um das Gewebe möglichst dünn zu machen und das Röntgenbild besser beurteilen zu können. Dieser Vorgang kann unangenehm und eventuell etwas schmerzhaft sein.

Zwei Richtungen der Aufnahme

Beide Brüste werden aus jeweils zwei Richtungen aufgenommen: von oben nach unten und schräg von der Mitte zur Seite hin. Dadurch können mögliche Auffälligkeiten besser erkannt werden.

Mammographie auch bei Implantaten möglich

Auch bei Frauen mit Brustimplantaten ist eine Mammographie problemlos und sicher möglich.

Verzicht auf Deos vor der Untersuchung

Frauen sollten vor der Mammographie auf Deos verzichten, da sie einen Schleier auf der Haut hinterlassen können, der in der Röntgenaufnahme sichtbar wird.

Bester Zeitpunkt für Mammographien

Der beste Zeitpunkt für Mammographien ist in der ersten Zyklushälfte, während der Periode oder in der ersten Woche danach. Zu diesem Zeitpunkt ist die Brust weniger empfindlich und weicher, sodass die Röntgenaufnahmen besser beurteilt werden können.

Einschränkungen bei jüngeren Frauen und hormonhaltigen Medikamenten

Bei jüngeren Frauen und solchen, die hormonhaltige Medikamente einnehmen oder stillen, kann die Röntgenaufnahme manchmal weniger aussagekräftig sein. In solchen Fällen kann es sinnvoll sein, die Medikamente im Monat der Untersuchung abzusetzen oder andere bildgebende Verfahren zu nutzen.

Dreidimensionales Mammographie-Verfahren

Wenn der Befund der zweidimensionalen Mammographie unklar ist oder eine Stelle nicht gut diagnostizierbar ist, kann ein modernes dreidimensionales Mammographie-Verfahren verwendet werden – die digitale Brust-Tomosynthese (DBT). Dabei werden mehrere Schichten der Brust aufgenommen, um ein dreidimensionales Bild zu erzeugen. Die DBT ist sensitiver als die herkömmliche 2D-Mammographie, hat aber auch mehr falsch positive Befunde zur Folge.

Nicht jeder Tumor wird durch eine Mammographie entdeckt. Die Sicherheit der Auswertung hängt unter anderem von der Dichte des Gewebes ab. Es gibt jedoch weitere bildgebende Verfahren und Empfehlungen zur Diagnose und Behandlung von Brustkrebs.

Brustkrebs-Früherkennung: Was sieht man in der Mammographie?

Die Mammographie ist eine Röntgenuntersuchung der Brust, die sowohl zur Abklärung von auffälligen Symptomen als auch zur Früherkennung genutzt wird. Sie ermöglicht die Erkennung sehr kleiner, noch nicht tastbarer Knötchen oder Mikrokalk, die ein Vorstadium von Brustkrebs sein können.

Bei der Mammographie wird heutzutage hauptsächlich ein digitales Röntgenverfahren verwendet. Die Bilder werden direkt im Computer gespeichert und können auf dem Bildschirm betrachtet und vergrößert werden. Die Aufnahmen werden in der Regel im Stehen gemacht, indem die Brust zwischen zwei Plexiglasplatten gepresst wird. Dies dient dazu, das Gewebe möglichst dünn darzustellen und das Röntgenbild besser beurteilen zu können. Dieser Vorgang kann unangenehm und eventuell etwas schmerzhaft sein.

Es werden Aufnahmen von beiden Brüsten aus jeweils zwei Richtungen gemacht: von oben nach unten und schräg von der Mitte zur Seite hin. Auch bei Frauen mit Implantaten ist die Mammographie problemlos und sicher möglich.

Vor der Untersuchung sollten Frauen auf Deos verzichten, da diese einen Schleier auf der Haut hinterlassen können, der in der Röntgenaufnahme sichtbar ist. Der beste Zeitpunkt für Mammographien liegt in der ersten Zyklushälfte, während der Periode oder in der ersten Woche danach. Zu diesem Zeitpunkt ist die Brust weniger empfindlich und weicher, was zu besseren Röntgenaufnahmen führt. Bei Frauen nach den Wechseljahren ist der Zeitpunkt der Untersuchung hingegen unerheblich.

Es ist jedoch wichtig zu beachten, dass nicht jeder Tumor durch eine Mammographie entdeckt wird. Schätzungsweise bleiben etwa zehn bis 15 Prozent unerkannt. Die Genauigkeit der Auswertung der Röntgenaufnahmen hängt unter anderem von der Dichte des Brustgewebes ab. Bei jüngeren Frauen oder solchen, die hormonhaltige Medikamente einnehmen oder stillen, kann die Röntgenaufnahme daher manchmal weniger aussagekräftig sein. In solchen Fällen kann es sinnvoll sein, die Medikamente vorübergehend abzusetzen oder andere bildgebende Verfahren zu nutzen.

Wenn der Befund einer zweidimensionalen Mammographie unklar ist oder eine Stelle nicht gut diagnostizierbar ist, kann ein modernes dreidimensionales Mammographieverfahren namens digitale Brust-Tomosynthese (DBT) verwendet werden. Dabei werden mehrere Schichten der Brust aufgenommen, um ein dreidimensionales Bild zu erzeugen. Die DBT ist sensitiver als die herkömmliche 2D-Mammographie, hat aber auch häufiger falsch positive Befunde zur Folge.

Quellen:
[4] Deutsches Krebsforschungszentrum Heidelberg – Krebsinformationsdienst: Mammographie zur Früherkennung von Brustkrebs:.https://www.krebsinformationsdienst.de/tumorarten/brustkrebs/mammographie-frueherkennung.php

Mammographie und Brustkrebs: Wie sehen verdächtige Befunde aus?

Verdächtige Befunde bei der Mammographie

– Die Mammographie ist eine Röntgenuntersuchung der Brust, die dazu dient, auffällige Symptome abzuklären und Frühstadien von Brustkrebs zu erkennen.
– Bei der Mammographie werden digitale Röntgenaufnahmen gemacht, die direkt im Computer gespeichert und auf dem Bildschirm betrachtet werden können.
– Die Aufnahmen werden im Stehen gemacht, indem die Brust zwischen zwei Plexiglasplatten gepresst wird, um das Gewebe möglichst dünn darstellen zu können.
– Die Mammographie kann auch bei Frauen mit Implantaten durchgeführt werden.
– Vor der Untersuchung sollten Frauen auf Deos verzichten, da sie einen Schleier auf der Haut hinterlassen können, der in der Röntgenaufnahme sichtbar ist.

Der beste Zeitpunkt für eine Mammographie

– Der beste Zeitpunkt für eine Mammographie ist in der ersten Zyklushälfte, während der Periode oder in der ersten Woche danach. Zu diesem Zeitpunkt ist die Brust weniger empfindlich und weicher, was die Beurteilung der Röntgenaufnahmen erleichtert.
– Für Frauen nach den Wechseljahren ist der Zeitpunkt der Untersuchung unerheblich.

Einschränkungen bei bestimmten Patientengruppen

– Nicht jeder Tumor wird durch eine Mammographie entdeckt. Schätzungsweise bleiben zehn bis 15 Prozent der Tumore unerkannt.
– Die Beurteilung der Röntgenaufnahmen hängt unter anderem von der Dichte des Gewebes ab. Bei jüngeren Frauen, Frauen die hormonhaltige Medikamente einnehmen oder stillen, kann die Röntgenaufnahme daher weniger aussagekräftig sein.
– In solchen Fällen kann es sinnvoll sein, die Medikamente im Monat der Untersuchung abzusetzen oder andere bildgebende Verfahren zu nutzen.

Dreidimensionale Mammographie (DBT)

– Wenn der Befund der zweidimensionalen Mammographie unklar ist oder eine Stelle nicht gut diagnostizierbar ist, kann eine dreidimensionale Mammographie-Verfahren namens digitale Brust-Tomosynthese (DBT) genutzt werden.
– Bei der DBT werden mehrere Schichten der Brust aufgenommen, um ein dreidimensionales Bild zu erstellen.
– Die DBT ist sensitiver als die herkömmliche 2D-Mammographie, hat aber auch mehr falsch positive Befunde zur Folge.

Quelle: [4] Deutsches Krebsforschungszentrum Heidelberg – Krebsinformationsdienst: Mammographie zur Früherkennung von Brustkrebs:.https://www.krebsinformationsdienst.de/tumorarten/brustkrebs/mammographie-frueherkennung.php

Die Darstellung von Brustkrebs in der Mammographie

Die Darstellung von Brustkrebs in der Mammographie

Auffällige Symptome abklären

Die Mammographie ist die derzeit beste Methode, um auffällige Symptome in der Brust abzuklären. Sie ermöglicht es, sehr kleine Knötchen oder Mikrokalk zu erkennen, die möglicherweise ein Vorstadium von Brustkrebs sind.

Früherkennungs-Untersuchung ohne Symptome

Die Mammographie wird jedoch nicht nur zur Abklärung von Symptomen verwendet, sondern auch als Früherkennungs-Untersuchung. Durch regelmäßige Mammographien können potenzielle Anzeichen von Brustkrebs frühzeitig erkannt werden.

Digitales Röntgenverfahren

Heutzutage wird bei der Mammographie fast ausschließlich ein digitales Röntgenverfahren angewendet. Die Aufnahmen werden direkt im Computer gespeichert und können auf dem Bildschirm betrachtet und vergrößert werden.

Plexiglasplatten und Stehen

Für die Mammographie werden die Brüste in der Regel im Stehen zwischen zwei Plexiglasplatten gepresst. Dies ermöglicht eine bessere Beurteilung des Röntgenbildes, da das Gewebe möglichst dünn sein sollte. Das kann unangenehm und etwas schmerzhaft sein.

Aufnahmen aus verschiedenen Richtungen

Bei der Mammographie werden beide Brüste aus jeweils zwei Richtungen aufgenommen – von oben nach unten und schräg von der Mitte zur Seite hin. Dadurch können verschiedene Ansichten der Brust erfasst werden.

Mammographie mit Implantaten

Auch bei Frauen mit Implantaten ist die Mammographie problemlos und sicher möglich. Es ist jedoch ratsam, vor der Untersuchung auf Deos zu verzichten, da sie einen Schleier auf der Haut hinterlassen können, der in der Röntgenaufnahme sichtbar ist.

Optimaler Zeitpunkt für Mammographien

Der beste Zeitpunkt für Mammographien liegt in der ersten Zyklushälfte, während der Periode oder in der ersten Woche danach. Zu diesem Zeitpunkt ist die Brust weniger empfindlich und weicher, was eine bessere Beurteilung der Röntgenaufnahmen ermöglicht. Für Frauen nach den Wechseljahren spielt der Zeitpunkt keine Rolle.

Einschränkungen bei bestimmten Patientengruppen

Nicht jeder Tumor wird durch eine Mammographie entdeckt. Die Sicherheit der Auswertung hängt unter anderem von der Dichte des Gewebes ab. Bei jüngeren Frauen und solchen, die hormonhaltige Medikamente einnehmen oder stillen, kann die Röntgenaufnahme daher weniger aussagekräftig sein. In solchen Fällen können alternative bildgebende Verfahren genutzt werden.

Dreidimensionale Mammographie-Verfahren

Wenn ein Befund unklar ist oder eine Stelle nicht gut diagnostizierbar ist, kann ein modernes dreidimensionales Mammographie-Verfahren verwendet werden – die digitale Brust-Tomosynthese (DBT). Hierbei werden mehrere Schichten der Brust aufgenommen, um ein dreidimensionales Bild zu erzeugen. Die DBT ist sensitiver als die herkömmliche 2D-Mammographie, kann jedoch auch zu mehr falsch positiven Befunden führen.

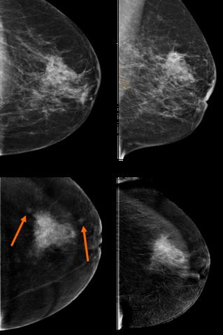
Zusammenfassend lässt sich sagen, dass Brustkrebs in der Mammographie als verdächtige Herde oder Veränderungen im Gewebe sichtbar wird. Die genaue Darstellung hängt von verschiedenen Faktoren ab, wie der Größe des Tumors und seiner Lage. Eine frühzeitige Erkennung durch regelmäßige Mammographien ist entscheidend, um die Behandlungschancen zu verbessern und Leben zu retten.