In diesem Artikel erfahren Sie, wie Sie schwarze Stellen an Ihren Zähnen selbst entfernen können. Wir stellen Ihnen effektive Methoden vor, um Verfärbungen zu bekämpfen und Ihre Zahngesundheit zu verbessern. Entdecken Sie praktische Tipps, um lästige Flecken loszuwerden und ein strahlendes Lächeln zurückzugewinnen. Holen Sie sich jetzt wertvolle Informationen für eine erfolgreiche Zahnreinigung zu Hause!
- Was bedeutet verjährt? Die Bedeutung und Folgen der Verjährung erklärt
- Tipps zur Behandlung von nachts eingeatmeter Magensäure
- Spannung pur: Eurojackpot-Ziehung am Dienstag – Jetzt die aktuellen Zahlen & Quoten entdecken!
- Erythrit: Die perfekte Zuckeralternative – Was ist das?
- Erstinfos zur Veröffentlichung der PS5
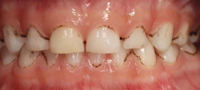
Wie man schwarze Stellen am Zahn selber entfernt: Tipps zur sicheren Entfernung von schwarzen Verfärbungen auf den Zähnen

Schwarze Stellen auf den Zähnen können ein ästhetisches Problem darstellen und auch auf Probleme mit der Mundhygiene oder bestimmte Ernährungsgewohnheiten hinweisen. Wenn Sie nur einen oberflächlichen braunen oder schwarzen Fleck auf einem Zahn entdeckt haben, gibt es einige Möglichkeiten, diesen möglicherweise zu Hause zu entfernen. Beachten Sie jedoch, dass diese Methoden zur Entfernung von Flecken auf den Zähnen nur bei extrinsischen Ursachen funktionieren.
Hier sind einige Tipps zur sicheren Entfernung von schwarzen Verfärbungen auf den Zähnen:
1. Verwenden Sie Zahnpulver: Zahnpulver wird seit Jahrhunderten verwendet und kann helfen, braunen Zahnbelag zu entfernen, Zahnfleischerkrankungen vorzubeugen und schwarze Flecken auf den Zähnen zu entfernen.
2. Reinigen Sie Ihre Zähne gründlich: Wenn Sie die Verfärbung frühzeitig erkennen, kann die richtige Methode der Zahnreinigung ausreichen, um die Plaque- und Bakterienschicht zu entfernen, die die verfärbten Stellen auf Ihren Zähnen verursacht. Elektrische, rotierende Zahnbürsten und Schallzahnbürsten können dabei helfen, leichte Verfärbungen auf Ihren Zähnen zu entfernen.
3. Versuchen Sie es mit Home-Whitening-Methoden: Bei leichten, extrinsischen Verfärbungen können Sie die unansehnlichen dunklen Flecken auf Ihren Zähnen mit Home-Whitening-Methoden entfernen. Bleichsets für zu Hause können jedoch Risiken bergen, daher sollten Sie vor der Anwendung mit Ihrem Zahnarzt oder Ihrer Zahnärztin sprechen.
Es ist wichtig zu beachten, dass diese Tipps nur bei oberflächlichen Verfärbungen funktionieren und nicht bei intrinsischen Ursachen. Wenn Ihre Zahnverfärbung intrinsisch ist oder wenn die Verfärbungen ausgedehnt und schwerwiegend sind, sollten Sie mit einem Experten darüber sprechen, wie Sie die Verfärbungen auf Ihren Zähnen entfernen können. Ihr Zahnarzt, Ihre Zahnärztin oder ein Zahnhygieniker kann Sie beraten und Ihnen Behandlungsmöglichkeiten anbieten.
Tipp: Auch wenn Sie bei Ihrem Kind den Beginn von verfärbten Zähnen bemerken, sollten Sie unbedingt Ihre Zahnarztpraxis aufsuchen. Dies kann ein Anzeichen für Entwicklungsprobleme der Zähne sein.
Hausmittel gegen schwarze Stellen am Zahn: Methoden zur Entfernung von Verfärbungen zu Hause

Wenn Sie schwarze Stellen am Zahn entdecken, gibt es einige Hausmittel, die Ihnen helfen können, diese Verfärbungen zu Hause zu entfernen. Beachten Sie jedoch, dass diese Methoden nur bei extrinsischen Ursachen für die Verfärbungen funktionieren. Bei intrinsischen Verfärbungen oder schwerwiegenden Problemen sollten Sie einen Zahnarzt aufsuchen.
Hier sind einige Hausmittel zur Entfernung von braunen Flecken auf den Zähnen:
1. Backpulver und Wasserstoffperoxid: Mischen Sie eine kleine Menge Backpulver mit Wasserstoffperoxid, um eine Paste herzustellen. Tragen Sie die Paste vorsichtig auf die verfärbten Stellen auf und lassen Sie sie für ein paar Minuten einwirken. Spülen Sie dann gründlich aus.
2. Apfelessig: Tauchen Sie eine Zahnbürste in Apfelessig und putzen Sie damit sanft Ihre Zähne. Achten Sie darauf, den Essig nicht zu lange auf den Zähnen zu lassen, da er den Zahnschmelz angreifen kann.
3. Aktivkohle: Aktivkohle hat absorbierende Eigenschaften und kann dazu beitragen, Verfärbungen von den Zähnen zu entfernen. Befeuchten Sie eine Zahnbürste und tauchen Sie sie in Aktivkohlepulver ein. Putzen Sie Ihre Zähne sanft mit der Kohle und spülen Sie gründlich aus.
4. Erdbeeren: Erdbeeren enthalten eine natürliche Säure, die helfen kann, Verfärbungen von den Zähnen zu entfernen. Zerdrücken Sie eine Erdbeere und tragen Sie sie mit einer Zahnbürste auf Ihre Zähne auf. Lassen Sie es für ein paar Minuten einwirken und spülen Sie dann gründlich aus.
5. Olivenöl: Massieren Sie etwas Olivenöl sanft auf Ihre Zähne, um Verfärbungen zu entfernen. Spülen Sie danach gründlich aus.
Es ist wichtig zu beachten, dass diese Hausmittel möglicherweise nicht bei allen Personen wirksam sind und dass sie den Zahnschmelz angreifen können, wenn sie nicht richtig angewendet werden. Konsultieren Sie daher immer einen Zahnarzt, bevor Sie Hausmittel zur Entfernung von Verfärbungen verwenden.
Zusätzlich zu diesen Hausmitteln ist es wichtig, gute Mundhygienepraktiken beizubehalten, wie regelmäßiges Zähneputzen, Zahnseide und regelmäßige Besuche beim Zahnarzt. Dies hilft dabei, die Bildung von Plaque und Verfärbungen zu reduzieren und die Gesundheit Ihrer Zähne zu erhalten.
Schwarze Flecken auf den Zähnen loswerden: Effektive Methoden zur Entfernung von dunklen Verfärbungen
Wenn Sie schwarze Flecken auf Ihren Zähnen entdeckt haben, möchten Sie wahrscheinlich wissen, wie Sie diese effektiv entfernen können. Glücklicherweise gibt es einige Methoden, die Ihnen dabei helfen können, dunkle Verfärbungen loszuwerden. Hier sind einige effektive Möglichkeiten:
1. Professionelle Zahnreinigung: Ein Besuch beim Zahnarzt oder der Zahnärztin ist eine gute Möglichkeit, schwarze Flecken auf den Zähnen zu entfernen. Bei einer professionellen Reinigung werden hartnäckige Verfärbungen und Plaque gründlich entfernt, um Ihre Zähne wieder strahlend und sauber aussehen zu lassen.
2. Zahnaufhellende Behandlungen: Es gibt verschiedene zahnaufhellende Behandlungen wie Bleaching oder Laserbehandlungen, die dabei helfen können, schwarze Flecken auf den Zähnen zu reduzieren oder zu beseitigen. Diese Behandlungen sollten jedoch immer von einem Fachmann durchgeführt werden.
3. Hausmittel zur Zahnaufhellung: Es gibt auch einige Hausmittel, die bei der Entfernung von schwarzen Flecken auf den Zähnen helfen können. Zum Beispiel kann das regelmäßige Bürsten mit Backpulver oder das Spülen mit einer Mischung aus Wasserstoffperoxid und Wasser dazu beitragen, Verfärbungen zu reduzieren.
4. Gesunde Mundhygiene-Routine: Eine gute Mundhygiene ist entscheidend für die Vorbeugung und Entfernung von schwarzen Flecken auf den Zähnen. Stellen Sie sicher, dass Sie Ihre Zähne zweimal täglich gründlich putzen, Zahnseide verwenden und regelmäßig Mundwasser verwenden.
5. Vermeiden von Lebensmitteln und Getränken, die Verfärbungen verursachen: Bestimmte Lebensmittel und Getränke wie Kaffee, Tee, Rotwein und Tabak können zu Verfärbungen der Zähne führen. Versuchen Sie, den Konsum dieser Substanzen zu reduzieren oder sie ganz zu vermeiden, um schwarze Flecken auf den Zähnen vorzubeugen.
Es ist wichtig zu beachten, dass die Entfernung von schwarzen Flecken auf den Zähnen je nach Ursache und Schweregrad variieren kann. Wenn Sie unsicher sind oder die Verfärbungen hartnäckig sind, sollten Sie einen Termin bei Ihrem Zahnarzt oder Ihrer Zahnärztin vereinbaren, um eine professionelle Beratung und Behandlung zu erhalten.
Selbstbehandlung von schwarzen Stellen am Zahn: Tipps und Tricks zur Entfernung von Verfärbungen zu Hause
Methoden zur Entfernung von braunen Flecken auf den Zähnen
– Verwenden Sie Zahnpulver, um braunen Zahnbelag zu entfernen und Plaque vorzubeugen.
– Reinigen Sie Ihre Zähne gründlich, um die Plaque- und Bakterienschicht zu entfernen.
– Elektrische Zahnbürsten können helfen, leichte Verfärbungen auf den Zähnen zu entfernen. Die Philips Sonicare DiamondClean in Kombination mit einem Philips Sonicare C3 Premium Plaque Defence Bürstenkopf bietet eine gründliche Reinigung.
– Bei leichten, extrinsischen Verfärbungen können Home-Whitening-Methoden verwendet werden. Sprechen Sie jedoch vorher mit Ihrem Zahnarzt.
Vorbeugung von schwarzen Stellen am Zahn
– Ändern Sie Ihre Ernährungsgewohnheiten, indem Sie auf Lebensmittel verzichten, die Verfärbungen verursachen, und nach dem Verzehr von verfärbenden Lebensmitteln die Zähne putzen.
– Rauchen Sie weniger oder hören Sie ganz damit auf, um die Bildung von Plaque und Zahnstein zu verhindern.
– Achten Sie auf eine gute Mundhygiene durch regelmäßiges und gründliches Zähneputzen sowie die Verwendung von Zahnseide.
– Spülen Sie Ihren Mund nach dem Verzehr von zucker- oder säurehaltigen Lebensmitteln mit Wasser aus, um Karies und Verfärbungen zu vermeiden.
– Vereinbaren Sie regelmäßige Kontrolltermine bei Ihrem Zahnarzt, um braune Flecken auf den Zähnen frühzeitig zu erkennen und behandeln zu lassen.
Es ist wichtig zu beachten, dass diese Tipps und Tricks zur Entfernung von Verfärbungen auf den Zähnen nur bei extrinsischen Ursachen wirksam sind. Bei intrinsischen Verfärbungen oder schwerwiegenden Verfärbungen sollten Sie einen Experten konsultieren.
Natürliche Wege, um schwarze Flecken auf den Zähnen loszuwerden: Hausmittel zur sicheren Entfernung von Verfärbungen

Zahnpulver verwenden
Eine Möglichkeit, braune Flecken auf den Zähnen zu entfernen, ist die Verwendung von Zahnpulver. Ähnlich wie Zahnpasta kann Zahnpulver dabei helfen, braunen Zahnbelag zu entfernen und Verfärbungen auf den Zähnen vorzubeugen. Sie können das Zahnpulver einfach wie gewohnt beim Zähneputzen verwenden.
Gründliche Reinigung der Zähne
Wenn Sie frühzeitig braune Flecken auf Ihren Zähnen erkennen, kann eine gründliche Reinigung ausreichen, um Plaque und Bakterien zu entfernen, die für die Verfärbungen verantwortlich sind. Achten Sie darauf, Ihre Zähne regelmäßig und gründlich zu putzen.
Tipp: Elektrische Schallzahnbürsten wie die Philips Sonicare DiamondClean in Kombination mit einem Philips Sonicare C3 Premium Plaque Defence Bürstenkopf können dabei helfen, leichte Verfärbungen auf den Zähnen zu entfernen. Diese bieten eine gründlichere Reinigung als normale Handzahnbürsten und entfernen bis zu 10-mal mehr Plaque.
Home-Whitening-Methoden ausprobieren
Bei leichten Verfärbungen können Sie auch Home-Whitening-Methoden ausprobieren. Es gibt verschiedene Produkte wie Bleichsets für zu Hause, die Ihnen dabei helfen können, dunkle Flecken auf den Zähnen zu entfernen. Bevor Sie solche Produkte verwenden, ist es jedoch ratsam, sich mit Ihrem Zahnarzt oder Ihrer Zahnärztin abzusprechen.
Wenn die Verfärbungen schwerwiegend sind oder von innen kommen, sollten Sie einen Experten konsultieren. Ihr Zahnarzt, Ihre Zahnärztin oder ein Zahnhygieniker kann Ihnen Behandlungsmöglichkeiten anbieten und Ihnen helfen, die Verfärbungen auf Ihren Zähnen sicher zu entfernen.
Tipp: Wenn Sie bei Ihrem Kind verfärbte Zähne bemerken, sollten Sie unbedingt einen Termin bei Ihrem Zahnarzt vereinbaren. Dies könnte ein Anzeichen für Entwicklungsprobleme der Zähne sein.
Es gibt zwar einige Möglichkeiten, leichte Verfärbungen zu Hause zu entfernen, aber Vorbeugung ist in den meisten Fällen das beste Mittel! Hier sind einige wichtige Tipps zur Vorbeugung von schwarzen oder braunen Flecken auf den Zähnen:
Ändern Sie Ihre Ernährungsgewohnheiten
Verzichten Sie auf Lebensmittel, die Verfärbungen verursachen können, wie Kaffee, Tee und Rotwein. Putzen Sie Ihre Zähne nach dem Verzehr solcher Lebensmittel oder fügen Sie Milch hinzu, um die Auswirkungen von Verfärbungen zu verringern.
Reduzieren oder beenden Sie das Rauchen
Der Verzicht auf Tabakprodukte ist nicht nur gut für Ihre allgemeine Gesundheit, sondern auch eine effektive Methode, um die Bildung von Plaque und Zahnstein zu verhindern.
Achten Sie auf eine gute Mundhygiene
Putzen Sie Ihre Zähne gründlich mindestens zweimal am Tag für mindestens zwei Minuten. Verwenden Sie eine weiche Zahnbürste und denken Sie daran, auch Zahnseide zu verwenden, um Plaque und Bakterien in schwer zugänglichen Bereichen zu entfernen.
Tipp: Die Philips Sonicare ExpertClean ist eine elektrische Schallzahnbürste, die dank ihrer Schalltechnologie auch schwer zugängliche Zahnbeläge erreichen kann.
Trinken Sie viel Wasser
Spülen Sie Ihren Mund nach dem Verzehr von zucker- oder säurehaltigen Lebensmitteln mit Wasser aus. Dies kann dazu beitragen, Karies und andere Probleme zu vermeiden, die schwarze Flecken auf den Zähnen verursachen können.
Vereinbaren Sie regelmäßige Kontrolltermine beim Zahnarzt
Besuchen Sie mindestens alle zwei Jahre Ihren Zahnarzt oder Ihre Zahnärztin für einen Kontrolltermin. Wenn Sie unerklärliche braune Verfärbungen an Ihren Zähnen bemerken, sollten Sie auch öfter einen Termin vereinbaren. Ihr Zahnarzt kann Ihnen die beste Behandlung zur Entfernung von braunen Flecken auf den Zähnen empfehlen und Ihnen helfen, ernsthafte gesundheitliche Probleme zu vermeiden.
Schwarze und braune Flecken auf den Zähnen sind nicht nur ein kosmetisches Problem, sondern können auch auf Probleme bei der Mundhygiene oder bestimmte Ernährungsgewohnheiten hinweisen. Es ist wichtig, die Ursachen zu kennen und Maßnahmen zur Vorbeugung zu ergreifen, um Verfärbungen der Zähne zu vermeiden.
DIY-Methoden zur Entfernung von schwarzen Stellen am Zahn: Tipps und Anleitungen für die selbstständige Behandlung

Schwarze Stellen am Zahn können ein ästhetisches Problem darstellen und sollten daher behandelt werden. Hier sind einige DIY-Methoden, die Ihnen helfen können, schwarze Stellen am Zahn zu entfernen:
Zahnpulver verwenden:
Zahnpulver kann eine effektive Methode sein, um schwarze Stellen auf den Zähnen zu entfernen. Es wird seit Jahrhunderten verwendet und kann helfen, Zahnbelag zu entfernen und Verfärbungen zu reduzieren. Sie können Zahnpulver auf Ihren Zahnbürstenkopf geben und Ihre Zähne wie gewohnt putzen.
Gründliche Reinigung:
Eine gründliche Reinigung der Zähne kann ebenfalls helfen, schwarze Flecken zu entfernen. Achten Sie darauf, Ihre Zähne mindestens zweimal täglich für zwei Minuten lang gründlich zu putzen. Verwenden Sie eine elektrische Schallzahnbürste, um schwer zugängliche Bereiche zu erreichen.
Home-Whitening-Methoden:
Für leichte Verfärbungen können Home-Whitening-Methoden in Betracht gezogen werden. Es gibt verschiedene Bleichsets für den Heimgebrauch auf dem Markt. Bevor Sie diese jedoch verwenden, sollten Sie mit Ihrem Zahnarzt oder Ihrer Zahnärztin sprechen, um sicherzustellen, dass sie für Ihre spezifische Situation geeignet sind.
Es ist wichtig zu beachten, dass diese DIY-Methoden nur bei extrinsischen Verfärbungen wirksam sind. Wenn Ihre Zahnverfärbung intrinsisch ist oder wenn die Verfärbungen schwerwiegend sind, sollten Sie einen Experten konsultieren und professionelle Behandlungsmöglichkeiten in Betracht ziehen.
Denken Sie daran, dass eine gute Mundhygiene und regelmäßige Zahnarztbesuche die besten Möglichkeiten sind, um schwarze Stellen am Zahn zu verhindern. Achten Sie auf Ihre Ernährungsgewohnheiten, reduzieren Sie den Konsum von Lebensmitteln und Getränken, die Verfärbungen verursachen können, und halten Sie sich an eine gründliche Mundpflegeroutine.
Es ist wichtig zu beachten, dass schwarze Stellen am Zahn nicht eigenständig entfernt werden sollten. Ein Besuch beim Zahnarzt ist unerlässlich, um eine genaue Diagnose und geeignete Behandlung zu erhalten. Selbstexperimente könnten den Zustand des Zahns verschlimmern und zu langfristigen Schäden führen. Vertraue den Experten und suche professionelle Hilfe für eine optimale Zahngesundheit.

