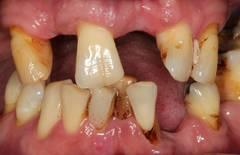
„Selbstgemachte Lösung für einen lockeren Zahn: Entdecke einfache und effektive Methoden, um deinen wackeligen Zahn ganz einfach selbst zu befestigen. Erfahre, wie du die Beschwerden lindern und deine Zahngesundheit verbessern kannst – ohne den Gang zum Zahnarzt.“
- Herrlich erfrischender Pfefferminzsirup – Einfach selbst gemacht!
- Die schönsten DIY Ideen für Osterdeko – Lass dich inspirieren!
- Ursachen und Symptome von schäumendem Urin: Was Sie wissen sollten
- Deutschland Frauen: Alle Anstoßzeiten der EMQ & UWNL
- Was macht der Blinddarm? Die Aufgabe des Blinddarms erklärt
Wie kann man einen lockeren Zahn selbst fixieren?
Es gibt verschiedene Möglichkeiten, einen lockeren Zahn zu stabilisieren. Hier sind einige Tipps:
1. Sanfte Zahnbewegungen vermeiden: Vermeiden Sie es, den lockeren Zahn mit der Zunge oder den Fingern zu bewegen, da dies den Zustand verschlimmern könnte.
2. Schonende Zahnpflege: Achten Sie darauf, Ihre Zähne sanft zu putzen und verwenden Sie eine weiche Zahnbürste. Verwenden Sie auch Zwischenraumbürsten oder Zahnseide, um Essensreste zwischen den Zähnen zu entfernen.
3. Mundspülung: Spülen Sie regelmäßig mit einer antibakteriellen Mundspülung, um Bakterienwachstum im Mundraum zu reduzieren und Entzündungen vorzubeugen.
4. Vermeiden von harten oder klebrigen Lebensmitteln: Essen Sie keine harten oder klebrigen Lebensmittel, die den lockeren Zahn weiter destabilisieren könnten.
5. Ölziehen: Einige Menschen schwören auf das Ölziehen als Hausmittel zur Stärkung des Zahnfleisches und zur Reduzierung von Entzündungen. Verwenden Sie dazu Sesamöl oder Kokosöl und spülen Sie Ihren Mund damit für 5-10 Minuten aus.
6. Konsultieren Sie Ihren Zahnarzt: Wenn der lose Zahn nicht innerhalb weniger Wochen fester wird oder wenn zusätzliche Symptome wie Schmerzen auftreten, ist es wichtig, einen Termin bei Ihrem Zahnarzt zu vereinbaren. Ihr Zahnarzt kann den Zustand des Zahns überprüfen und geeignete Behandlungsoptionen empfehlen.
Es ist wichtig zu beachten, dass diese Tipps nicht für alle Situationen geeignet sind und dass ein lockerer Zahn in einigen Fällen eine professionelle zahnärztliche Behandlung erfordert. Konsultieren Sie daher immer Ihren Zahnarzt, um eine genaue Diagnose und die beste Vorgehensweise zu erhalten.
Hausmittel zur Stabilisierung eines lockeren Zahns

Es gibt verschiedene Hausmittel, die helfen können, einen lockeren Zahn zu stabilisieren. Hier sind einige Möglichkeiten:
1. Mundspülung mit Salzwasser: Gurgeln Sie mehrmals täglich mit einer Lösung aus warmem Wasser und Salz. Das Salzwasser kann helfen, Entzündungen zu reduzieren und das Zahnfleisch zu beruhigen.
2. Kräuterextrakte: Einige Kräuterextrakte wie Kamille oder Ringelblume haben entzündungshemmende Eigenschaften. Spülen Sie Ihren Mund regelmäßig mit einer verdünnten Lösung dieser Extrakte.
3. Propolis: Propolis ist ein natürliches Harz, das von Bienen produziert wird. Es hat antimikrobielle und entzündungshemmende Eigenschaften. Tragen Sie etwas Propolis-Tinktur auf den lockeren Zahn auf.
4. Teebaumöl: Teebaumöl hat ebenfalls antimikrobielle Eigenschaften und kann bei der Behandlung von Zahnfleischentzündungen helfen. Verdünnen Sie das Teebaumöl mit Wasser und spülen Sie Ihren Mund damit aus.
5. Ingwer-Knoblauch-Paste: Eine Mischung aus geriebenem Ingwer und Knoblauch kann entzündungshemmend wirken. Tragen Sie die Paste auf den lockeren Zahn auf und lassen Sie sie für einige Minuten einwirken.
Es ist wichtig zu beachten, dass diese Hausmittel keine dauerhafte Lösung für lockere Zähne sind und eine gründliche zahnärztliche Untersuchung empfohlen wird, um die Ursache des Problems zu ermitteln.
Tipps zur Selbstbehandlung bei einem wackelnden Zahn
Zahnpflege:
– Putzen Sie regelmäßig und gründlich Ihre Zähne, mindestens zweimal täglich.
– Verwenden Sie eine Zahnbürste mit weichen Borsten, um das Zahnfleisch nicht weiter zu reizen.
– Reinigen Sie auch die Zwischenräume der Zähne mit Zahnseide oder Zahnzwischenraumbürstchen, um Essensreste und Bakterien zu entfernen.
Schonung des Zahns:
– Vermeiden Sie harte Lebensmittel wie Nüsse oder Karotten, die den lockeren Zahn weiter destabilisieren könnten.
– Kauen Sie nicht auf der betroffenen Seite, um den Druck auf den lockeren Zahn zu verringern.
– Verzichten Sie auf klebrige Lebensmittel wie Kaugummis oder Bonbons, die den losen Zahn zusätzlich belasten könnten.
Besuch beim Zahnarzt:
– Vereinbaren Sie einen Termin bei Ihrem Zahnarzt, um die Ursache des wackelnden Zahns abklären zu lassen.
– Der Zahnarzt kann weitere Behandlungsschritte empfehlen und gegebenenfalls Maßnahmen ergreifen, um den Zustand des Zahns zu verbessern.
Bitte beachten Sie, dass diese Tipps zur Selbstbehandlung keine professionelle zahnärztliche Beratung ersetzen. Es ist wichtig, einen Fachmann aufzusuchen, um eine genaue Diagnose und geeignete Behandlungsmöglichkeiten zu erhalten.
Wie kann ich meinen lockeren Zahn wieder festigen?

Es gibt verschiedene Möglichkeiten, einen lockeren Zahn wieder zu festigen. Hier sind einige Optionen:
1. Professionelle Zahnbehandlung: Wenn Ihr Zahn locker ist, sollten Sie zunächst Ihren Zahnarzt aufsuchen. Er oder sie wird den Zustand Ihres Zahns untersuchen und die beste Vorgehensweise empfehlen. Je nach Ursache des lockeren Zahns kann eine professionelle Behandlung erforderlich sein, wie z.B. das Anbringen einer Krone oder eines Implantats.
2. Parodontale Therapie: Wenn der lockere Zahn auf eine Parodontitis zurückzuführen ist, wird Ihr Zahnarzt wahrscheinlich eine parodontale Therapie empfehlen. Dabei werden die entzündeten Bereiche des Zahnfleischs gereinigt und behandelt, um den Knochenabbau zu stoppen und das Gewebe wieder zu festigen.
3. Mundhygiene verbessern: Eine gute Mundhygiene ist entscheidend für die Gesundheit Ihrer Zähne und Ihres Zahnfleischs. Befolgen Sie daher unbedingt die Empfehlungen Ihres Zahnarztes zur richtigen Zahnpflege, einschließlich regelmäßigem Putzen, Verwendung von Zahnseide und eventuell zusätzlicher Hilfsmittel wie Interdentalbürsten oder Mundspülungen.
4. Ernährung anpassen: Eine ausgewogene Ernährung mit ausreichender Versorgung von Vitaminen und Mineralstoffen kann dazu beitragen, dass Ihre Zähne gesund bleiben und sich besser regenerieren können. Vermeiden Sie harte oder klebrige Lebensmittel, die den lockeren Zahn weiter belasten könnten.
5. Stress reduzieren: Stress kann sich auch auf Ihre Zahngesundheit auswirken. Versuchen Sie daher, Stress abzubauen und Entspannungstechniken wie Yoga oder Meditation in Ihren Alltag zu integrieren.
6. Rauchen aufhören: Rauchen beeinträchtigt nicht nur Ihre allgemeine Gesundheit, sondern kann auch zu Zahnfleischerkrankungen führen und den Heilungsprozess bei einem lockeren Zahn verzögern. Wenn Sie rauchen, sollten Sie versuchen, damit aufzuhören oder zumindest den Konsum zu reduzieren.
Es ist wichtig zu beachten, dass die Behandlung eines lockeren Zahns von der zugrunde liegenden Ursache abhängt. Daher ist es ratsam, einen Zahnarzt aufzusuchen, um eine genaue Diagnose und individuelle Behandlungsplanung zu erhalten.
Was tun, wenn ein Zahn locker ist? Selbsthilfe-Tipps
Wenn Sie feststellen, dass ein Zahn in Ihrem Mund locker ist, gibt es einige Selbsthilfe-Tipps, die Sie ausprobieren können:
1. Gehen Sie zum Zahnarzt: Der erste Schritt sollte immer sein, einen Termin bei Ihrem Zahnarzt zu vereinbaren. Nur ein Fachmann kann die genaue Ursache für das lockere Zahnproblem feststellen und entsprechende Maßnahmen ergreifen.
2. Schonen Sie den betroffenen Bereich: Vermeiden Sie es, auf der Seite des lockeren Zahns zu kauen oder harte Lebensmittel zu essen. Durch das Schonen des Zahns können Sie verhindern, dass er weiter destabilisiert wird.
3. Verwenden Sie eine weiche Zahnbürste: Wechseln Sie zu einer weichen Zahnbürste und putzen Sie Ihre Zähne vorsichtig. Eine harte Bürste könnte den lockeren Zahn zusätzlich belasten.
4. Vermeiden Sie stark klebrige Lebensmittel: Klebrige Lebensmittel wie Kaugummis oder Bonbons könnten den lockeren Zahn weiter destabilisieren. Es ist daher ratsam, solche Lebensmittel vorübergehend zu meiden.
5. Achten Sie auf Ihre Mundhygiene: Eine gute Mundhygiene ist wichtig, um Entzündungen und Infektionen vorzubeugen. Putzen Sie regelmäßig gründlich Ihre Zähne und verwenden Sie zusätzliche Hilfsmittel wie Zahnseide oder Interdentalbürsten, um auch die Zwischenräume gut zu reinigen.
6. Vermeiden Sie übermäßiges Druckausüben: Vermeiden Sie das Ausüben von starkem Druck auf den lockeren Zahn, sei es durch Zähneknirschen oder das Beißen auf harten Gegenständen. Dies könnte den Zustand des Zahns verschlechtern.
7. Ölziehen: Einige Menschen schwören auf die Vorteile des Ölziehens bei Zahngesundheitsproblemen. Kokosöl oder Sesamöl werden oft empfohlen. Beachten Sie jedoch, dass dies keine wissenschaftlich nachgewiesene Methode ist und nicht als Ersatz für eine professionelle zahnärztliche Behandlung angesehen werden sollte.
Es ist wichtig zu beachten, dass diese Selbsthilfe-Tipps keine endgültige Lösung für ein lockeres Zahnproblem sind. Es wird dringend empfohlen, einen Termin bei Ihrem Zahnarzt zu vereinbaren, um die genaue Ursache festzustellen und angemessene Maßnahmen zu ergreifen.
Möglichkeiten zur Eigenbehandlung bei einem lockeren Zahn
Wenn Sie einen lockeren Zahn haben, gibt es einige Maßnahmen, die Sie ergreifen können, um die Situation zu verbessern. Hier sind einige Möglichkeiten zur Eigenbehandlung:
1. Schonen Sie den betroffenen Zahn: Vermeiden Sie harte Nahrungsmittel oder das Kauen auf der Seite des lockeren Zahns. Durch das Schonen des Zahns kann sich der Zustand verbessern und er kann wieder fester werden.
2. Gründliche Mundhygiene: Eine gute Mundhygiene ist entscheidend, um entzündungsbedingte Lockerungen der Zähne zu verhindern. Putzen Sie Ihre Zähne zweimal täglich gründlich mit einer weichen Zahnbürste und verwenden Sie Zahnseide oder Interdentalbürsten, um auch die Zwischenräume zu reinigen.
3. Mundspülung: Eine antibakterielle Mundspülung kann dabei helfen, Bakterien im Mundraum zu reduzieren und Entzündungen vorzubeugen. Spülen Sie Ihren Mund regelmäßig nach dem Zähneputzen mit einer geeigneten Mundspülung aus.
4. Ölziehen: Ölziehen ist eine alte Methode zur Reinigung des Mundraums und zur Förderung der Gesundheit von Zähnen und Zahnfleisch. Verwenden Sie Sesamöl oder Kokosöl und spülen Sie Ihren Mund morgens vor dem Zähneputzen für etwa 5 Minuten damit aus.
5. Regelmäßige Kontrolltermine beim Zahnarzt: Besuchen Sie regelmäßig Ihren Zahnarzt, um den Zustand Ihrer Zähne überprüfen zu lassen. Ihr Zahnarzt kann Ihnen weitere Tipps zur Behandlung eines lockeren Zahns geben und gegebenenfalls eine professionelle Reinigung oder andere Maßnahmen durchführen.
Bitte beachten Sie, dass diese Maßnahmen nicht in allen Fällen ausreichen, um einen lockeren Zahn zu behandeln. Wenn der Zustand anhält oder sich verschlechtert, ist es wichtig, einen Zahnarzt aufzusuchen, um eine genaue Diagnose und geeignete Behandlung zu erhalten.
Es ist wichtig, einen lockeren Zahn nicht selbst zu fixieren. Es besteht das Risiko einer Verschlimmerung der Verletzung oder Infektion. Konsultieren Sie einen Zahnarzt, um eine professionelle Behandlung zu erhalten und langfristige Probleme zu vermeiden.

