Die leere Fruchthöhle ist ein Phänomen, das bei Schwangeren auftreten kann und Fragen aufwirft. Aber wann ist es normal? In diesem Artikel werden wir genauer untersuchen, bis zu welchem Zeitpunkt eine leere Fruchthöhle als normal angesehen werden kann und welche möglichen Ursachen dahinterstecken können. Lassen Sie uns gemeinsam Licht ins Dunkel bringen.
- Warum überlebt Elena das Heilmittel, während Katherine stirbt? – Logikloch in Vampire Diaries
- Nasenpiercing Kosten: Preisvergleich und weitere Ausgaben
- Rocky Balboa: Wie alt ist der legendäre Boxer?
- Ursachen und Lösungen: Warum miaut meine Katze ständig?
- Gaming PC selbst zusammenstellen – Dein maßgeschneiderter Gaming Boliden
Leere Fruchthöhle: Wann ist es normal und bis wann sollte man sich Sorgen machen?

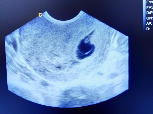
Eine leere Fruchthöhle kann bei einer Ultraschalluntersuchung festgestellt werden, wenn sich in der Gebärmutter keine Embryonalanlagen entwickelt haben. Dies wird oft als Windei bezeichnet. Es handelt sich dabei um eine Art Fehlentwicklung, bei der sich nur die äußere Zellschicht der Keimblase gebildet hat, jedoch kein Embryo vorhanden ist.
In den meisten Fällen deutet eine leere Fruchthöhle auf eine nicht intakte Schwangerschaft hin und bedeutet, dass die Schwangerschaft vorzeitig beendet werden muss. Es kann jedoch auch vorkommen, dass sich der Embryo noch nicht ausreichend entwickelt hat und daher noch nicht sichtbar ist. In solchen Fällen wird häufig zu einem späteren Zeitpunkt eine erneute Ultraschalluntersuchung durchgeführt, um das weitere Vorgehen zu bestimmen.
Es ist wichtig, dass Sie bei einer leeren Fruchthöhle mit Ihrer Frauenärztin oder Ihrem Frauenarzt sprechen. Sie werden gemeinsam besprechen, ob eine Ausschabung oder eine medikamentöse Therapie notwendig ist. Diese Maßnahmen dienen dazu, die nicht intakte Schwangerschaft zu beenden und mögliche Komplikationen zu vermeiden.
Es ist normal, dass eine leere Fruchthöhle bei werdenden Eltern Sorgen und Ängste auslöst. Es kann ein Schock sein, wenn sich herausstellt, dass die Schwangerschaft nicht wie erhofft verläuft. Es ist wichtig, dass Sie sich in dieser Situation Unterstützung suchen. Das TK-HebammenTelefon steht Ihnen zur Verfügung und bietet Ihnen Beratung und Beistand. Auch Ihre Frauenärztin oder Ihr Frauenarzt kann Ihnen weitere Informationen und Hilfestellungen geben.
Denken Sie daran, dass eine leere Fruchthöhle nicht Ihre Schuld ist. Es handelt sich um eine medizinische Situation, die außerhalb Ihrer Kontrolle liegt. Geben Sie sich Zeit, um Ihre Gefühle zu verarbeiten und suchen Sie bei Bedarf professionelle Hilfe.
Es gibt verschiedene Gründe für eine leere Fruchthöhle, wie das Windei oder andere Fehlentwicklungen. Es ist wichtig, dass diese medizinischen Situationen von Fachpersonen untersucht und behandelt werden. Vertrauen Sie auf die Expertise Ihrer Ärztin oder Ihres Arztes und lassen Sie sich über die weiteren Schritte informieren.
Quellen:
– Bundesärztekammer/Kassenärztliche Bundesvereinigung. Deutsches Ärzteblatt, 23.09.2021.
– Pschyrembel online: Abortivei, 04/2020.
– Bundeszentrale für gesundheitliche Aufklärung (BZgA): Schwangerschaftsabbruch: Rechtslage, Indikationen und Fristen, 20.03.2020.
– Asthma in der Schwangerschaft: Wie sicher sind Asthma-Medikamente? Was sind eine Gebärmuttersenkung und ein Gebärmuttervorfall? Verlust des Kindes ab der 25. Schwangerschaftswoche Wie kann ich eine Fehl- oder Totgeburt verarbeiten?
Leere Fruchthöhle in der Schwangerschaft: Was ist normal und was nicht?

Eine leere Fruchthöhle in der Schwangerschaft kann verschiedene Ursachen haben. In den meisten Fällen handelt es sich um ein sogenanntes Windei, bei dem sich nach der Befruchtung der Eizelle zwar die äußere Zellschicht der Keimblase gebildet hat, aber die Embryonalanlagen fehlen. Dadurch kann sich die Schwangerschaft nicht weiterentwickeln.
Eine leere Fruchthöhle kann auch auf eine Blasenmole hinweisen. Dabei handelt es sich um Zellwucherungen des Plazentagewebes. Bei einer vollständigen Blasenmole entwickelt sich kein embryonales Gewebe, bei einer partiellen Blasenmole dagegen schon. Eine Blasenmole muss immer operativ entfernt werden, da sie zu ernsthaften Komplikationen führen kann.
Eine weitere mögliche Ursache für eine leere Fruchthöhle ist eine Eileiterschwangerschaft. Dabei nistet sich der Embryo nicht in der Gebärmutter, sondern in einem Eileiter ein. Dies ist selten, aber sehr gefährlich und erfordert eine sofortige ärztliche Hilfe.
Es ist wichtig zu beachten, dass eine leere Fruchthöhle in der Schwangerschaft nicht normal ist und medizinische Aufmerksamkeit erfordert. Wenn Ihre Ärztin oder Ihr Arzt feststellt, dass sich keine Embryonalanlagen entwickeln oder dass die Schwangerschaft außerhalb der Gebärmutter liegt, wird sie oder er mit Ihnen besprechen, welche weiteren Schritte erforderlich sind.
Es ist wichtig, sich in solchen Situationen ärztlichen Rat einzuholen und Unterstützung zu suchen. Eine leere Fruchthöhle kann emotional belastend sein, und es ist wichtig, dass Sie sich mit Ihren Sorgen und Ängsten an Fachleute wenden können.
Schwangerschaft mit leerer Fruchthöhle: Ab wann ist ärztliche Hilfe erforderlich?
Eine Schwangerschaft mit leerer Fruchthöhle, auch als Windei bezeichnet, kann ein Grund zur Sorge sein. In den meisten Fällen handelt es sich dabei um eine frühe Fehlgeburt. Es ist wichtig, ärztliche Hilfe in Anspruch zu nehmen, um die Situation zu klären und weitere Schritte zu besprechen.
Wenn bei einer Ultraschalluntersuchung festgestellt wird, dass sich in der Fruchthöhle kein Embryo entwickelt hat, handelt es sich um ein Windei. Dies bedeutet, dass sich nach der Befruchtung der Eizelle zwar die äußere Zellschicht der Keimblase gebildet hat, aber die Embryonalanlagen fehlen vollständig.
In solchen Fällen ist es ratsam, einen Termin bei Ihrer Frauenärztin oder Ihrem Frauenarzt zu vereinbaren. Gemeinsam können Sie besprechen, welche weiteren Schritte notwendig sind. Je nach Situation kann eine Ausschabung oder eine medikamentöse Therapie empfohlen werden.
Es ist wichtig zu beachten, dass eine Schwangerschaft mit leerer Fruchthöhle nicht aufgrund von eigenen Handlungen oder Versäumnissen entsteht. Es handelt sich um einen natürlichen Prozess und liegt meist an genetischen oder chromosomalen Anomalien.
Wenn Sie sich Sorgen machen oder Fragen haben, zögern Sie nicht, ärztliche Hilfe in Anspruch zu nehmen. Ihre Frauenärztin oder Ihr Frauenarzt steht Ihnen zur Seite und kann Sie bei der Bewältigung dieser Situation unterstützen.
Leere Fruchthöhle in der Ultraschalluntersuchung: Was bedeutet das für die Schwangerschaft?
Eine leere Fruchthöhle in der Ultraschalluntersuchung kann ein Anzeichen dafür sein, dass die Schwangerschaft nicht wie erwartet verläuft. Wenn bei einem positiven Schwangerschaftstest keine embryonalen Strukturen in der Fruchthöhle sichtbar sind, spricht man von einem „Windei“. Dabei hat sich zwar die äußere Zellschicht gebildet, aber es fehlen die Embryonalanlagen. In solchen Fällen kann sich die Schwangerschaft nicht weiterentwickeln.
Wenn eine leere Fruchthöhle festgestellt wird, wird Ihre Frauenärztin oder Ihr Frauenarzt mit Ihnen besprechen, ob eine Ausschabung oder eine medikamentöse Therapie notwendig ist. Es ist wichtig, dass Sie sich von einer Fachperson beraten lassen und gemeinsam über den weiteren Verlauf entscheiden.
Es gibt auch seltene Fälle, in denen es zu Zellwucherungen des Plazentagewebes kommt, was als Blasenmole bezeichnet wird. Bei einer vollständigen Blasenmole entwickelt sich kein embryonales Gewebe, während bei einer partiellen Blasenmole embryonales Gewebe vorhanden sein kann. Eine Blasenmole muss immer operativ entfernt werden, da sie zu ernsthaften Komplikationen führen kann.
In seltenen Fällen nistet sich der Embryo außerhalb der Gebärmutter ein und es liegt eine Eileiterschwangerschaft vor. Eine Eileiterschwangerschaft kann lebensbedrohlich sein und erfordert sofortige ärztliche Hilfe. Anzeichen dafür können starke Schmerzen, Blutungen, erhöhte Temperatur und eine Verhärtung im Bauchbereich sein.
Wenn die Schwangerschaft aufgrund einer ernsthaften Gefahr für Ihr Leben oder Ihre seelische Gesundheit beendet werden muss, ist dies auch zu einem späteren Zeitpunkt möglich. Es ist wichtig, dass Sie sich bei solchen Entscheidungen von Fachleuten wie Ihrer Gynäkologin oder Ihrem Gynäkologen sowie Humangenetikern beraten lassen.
Es ist normal, dass eine leere Fruchthöhle in der Ultraschalluntersuchung Ängste und Sorgen auslöst. Wenn Sie Unterstützung oder Beratung benötigen, stehen Ihnen unsere Expertinnen und Experten vom TK-HebammenTelefon zur Verfügung.
Frühe Schwangerschaft und leere Fruchthöhle: Wann ist ein medizinischer Eingriff notwendig?

Windei
Ein Windei tritt auf, wenn sich nach der Befruchtung der Eizelle die äußere Zellschicht der Keimblase bildet, aber die Embryonalanlagen fehlen. In diesem Fall kann sich die Schwangerschaft nicht weiterentwickeln. Je nach Situation wird Ihre Frauenärztin oder Ihr Frauenarzt mit Ihnen besprechen, ob eine Ausschabung oder eine medikamentöse Therapie notwendig ist.
Blasenmole
Eine Blasenmole entsteht durch Zellwucherungen des Plazentagewebes. Bei einer vollständigen Blasenmole entwickelt sich kein embryonales Gewebe, bei einer partiellen Blasenmole dagegen schon. Da eine Blasenmole zu ernsthaften Komplikationen führen kann, muss sie immer operativ entfernt werden. Ihre Ärztin oder Ihr Arzt wird regelmäßig Ihre Hormonwerte kontrollieren, um sicherzustellen, dass das Gewebe vollständig entfernt wurde.
Eileiterschwangerschaft
Bei einer Eileiterschwangerschaft nistet sich der Embryo nicht in Ihrer Gebärmutter, sondern in der Schleimhaut eines Eileiters ein. Auch in anderen Bereichen wie dem Eierstock, dem Gebärmutterhals oder der Bauchhöhle kann sich der Embryo einnisten. Eine Eileiterschwangerschaft kann zu schwerwiegenden Komplikationen führen und muss daher so früh wie möglich beendet werden. Suchen Sie bei Anzeichen wie einseitigen Schmerzen, Blutungen, erhöhter Temperatur und Verhärtung im Bauch unverzüglich ärztliche Hilfe auf.
Lebensgefahr für die Mutter oder seelische Gesundheit
Wenn von der Schwangerschaft eine ernsthafte Gefahr für Ihr Leben oder Ihre seelische Gesundheit ausgeht, kann sie auch zu einem späteren Zeitpunkt noch beendet werden.
Chromosomenanomalie beim ungeborenen Kind
Wenn bei Ihrem ungeborenen Kind zum Beispiel eine Chromosomenanomalie diagnostiziert wurde, können Sie sich dafür entscheiden, die Schwangerschaft abzubrechen. Ihre Gynäkologin oder Ihr Gynäkologe sowie Fachleute für Humangenetik können Ihnen die Möglichkeiten aufzeigen und über unterstützende Therapien informieren.
Es ist wichtig, dass Sie bei Fragen oder Unsicherheiten immer den Rat Ihrer Ärztin oder Ihres Arztes suchen.
Leere Fruchthöhle in der 12. Woche: Was sind mögliche Ursachen und Behandlungsoptionen?

Eine leere Fruchthöhle in der 12. Woche der Schwangerschaft kann für werdende Eltern eine große Enttäuschung sein. Es handelt sich dabei um eine Situation, in der sich keine embryonale Entwicklung innerhalb der Fruchthöhle zeigt, obwohl ein positiver Schwangerschaftstest vorlag.
Es gibt verschiedene mögliche Ursachen für eine leere Fruchthöhle in dieser Phase der Schwangerschaft. Eine Möglichkeit ist das Vorliegen eines sogenannten Windeis, bei dem sich die äußere Zellschicht der Keimblase gebildet hat, aber die Embryonalanlagen fehlen. Eine weitere Ursache kann eine Blasenmole sein, bei der es zu Zellwucherungen des Plazentagewebes kommt. In seltenen Fällen kann sich auch eine Eileiterschwangerschaft entwickeln.
Die Behandlungsoptionen hängen von der jeweiligen Ursache ab und sollten mit Ihrer Frauenärztin oder Ihrem Frauenarzt besprochen werden. Bei einem Windei kann eine Ausschabung oder eine medikamentöse Therapie notwendig sein, um die nicht weiterentwickelte Schwangerschaft zu beenden. Bei einer Blasenmole muss diese operativ entfernt werden und anschließend regelmäßige Kontrolluntersuchungen erfolgen, um sicherzustellen, dass das Gewebe vollständig entfernt wurde. Bei einer Eileiterschwangerschaft ist ein sofortiger ärztlicher Eingriff erforderlich, um Komplikationen zu vermeiden.
Es ist wichtig, dass Sie in dieser Situation Unterstützung suchen und sich von Expertinnen und Experten beraten lassen. Das TK-HebammenTelefon steht Ihnen zur Verfügung und kann Ihnen bei Fragen und Unsicherheiten weiterhelfen. Eine Schwangerschaft mit einer leeren Fruchthöhle kann eine große emotionale Belastung sein, und es ist wichtig, dass Sie den nötigen Beistand erhalten.
Quellen:
– Bundesärztekammer/Kassenärztliche Bundesvereinigung. Deutsches Ärzteblatt, 23.09.2021.
– Pschyrembel online: Abortivei, 04/2020.
– Pschyrembel online: Blasenmole, 04/2016.
In den meisten Fällen ist eine leere Fruchthöhle bis zur neunten Schwangerschaftswoche normal und kein Grund zur Besorgnis. Es ist jedoch wichtig, ärztliche Untersuchungen durchzuführen, um mögliche Komplikationen auszuschließen. Bei anhaltender Unsicherheit sollte immer ein Arzt konsultiert werden.

