Ein Schädelhirntrauma bezieht sich auf eine Verletzung des Gehirns, die durch eine traumatische Einwirkung auf den Schädel entsteht. Dies kann durch einen Unfall, einen Sturz oder eine Gewalteinwirkung verursacht werden. Die Symptome können von vorübergehenden Kopfschmerzen bis zu schweren neurologischen Beeinträchtigungen reichen. Eine frühzeitige Diagnose und Behandlung sind entscheidend für eine gute Genesung.
- Leckeres Vanillepuddingpulver selbst gemacht – einfach und schnell!
- Hexe Kostüm selber machen: Anleitung für Damen
- Übersicht über die Kosten einer Erdwärmepumpe
- Natürliche Bevölkerungsentwicklung und Migration beeinflussen Argentinien: Gesamtbevölkerung 1950-2022 & Prognosen bis 2050
- Gnocchi selber machen: Aus was bestehen die Klöße?
Formen von Schädelfrakturen und Gehirnverletzungen: Ursachen, Symptome und Diagnose

Eine Schädelfraktur ist eine Verletzung des Schädelknochens, die mit einer Funktionsstörung des Gehirns einhergeht. Es gibt verschiedene Formen von Schädelfrakturen, je nachdem welcher Teil des Schädels betroffen ist. Man unterscheidet zwischen Gesichtsschädelfrakturen (wie Nasenbeinbruch oder Kieferknochenbruch), Kalottenfrakturen (Bruch des knöchernen Schädeldachs) und Schädelbasisfrakturen. Bei schweren Verletzungen können auch mehrere Strukturen betroffen sein.
Gehirnverletzungen können durch äußere Gewalteinwirkung auf den Kopf entstehen, zum Beispiel durch Stürze oder Schläge. Typische Ursachen für ein Schädel-Hirn-Trauma sind Verkehrsunfälle und Sportverletzungen.
Die Symptome eines Schädel-Hirn-Traumas können je nach Schwere der Verletzung variieren. Zu den häufigsten Symptomen gehören Kopfschmerzen, Übelkeit und Erbrechen, Bewusstseinsstörungen, Bewegungsstörungen und Krampfanfälle. Ein schweres Trauma kann lebensbedrohlich sein und zu Atem- oder Kreislaufstillstand führen.
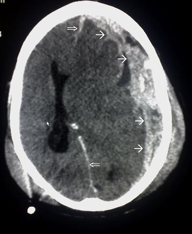
Die Diagnose eines Schädel-Hirn-Traumas wird im Krankenhaus gestellt. Neben einer Befragung des Verletzten und einer ärztlichen Untersuchung werden bildgebende Verfahren wie Röntgenuntersuchungen, Computertomographie oder Magnetresonanztomographie eingesetzt. Bei Bedarf können auch spezielle Untersuchungen wie die Aufzeichnung der Gehirnströme durchgeführt werden.
Die Behandlung eines Schädel-Hirn-Traumas hängt von der Schwere der Verletzung ab. Bei schweren Verletzungen werden oft operative Eingriffe durchgeführt, um Blutungen zu stoppen oder Knochenbrüche zu versorgen. Auch bei vermeintlich harmlosen Gehirnerschütterungen wird eine Beobachtung im Krankenhaus empfohlen.
Bei Verdacht auf ein Schädel-Hirn-Trauma sollte umgehend medizinische Hilfe in Anspruch genommen werden. Im Notfall wählt man den Notruf 144 oder sucht die nächste Notfallambulanz auf.
Die Kosten für die Diagnose und Behandlung eines Schädel-Hirn-Traumas werden vom zuständigen Sozialversicherungsträger übernommen. Es kann jedoch ein Selbstbehalt oder Kostenbeitrag anfallen. Weitere Informationen dazu erhalten Sie bei Ihrem Sozialversicherungsträger.
Quellen:
– Expertenprüfung durch Univ.Doz. Dr. Christian Gäbler, Facharzt für Unfallchirurgie, Zusatzfach Unfallchirurgie (Sporttraumatologie)
– Österreichisches Gesundheitsportal
Behandlung von Schädel-Hirn-Trauma: Möglichkeiten und Anlaufstellen
Die Behandlung eines Schädel-Hirn-Traumas hängt von der Schwere der Verletzung ab. Bei leichten Fällen, wie einer Gehirnerschütterung, ist oft keine spezifische Behandlung erforderlich. Es wird jedoch empfohlen, die betroffene Person für 24 bis 48 Stunden im Krankenhaus zu beobachten.
Bei schwereren Verletzungen, wie einer Gehirnblutung oder einem Schädelbruch, kann eine Operation notwendig sein. Die genaue Art der Behandlung hängt von der Lokalisation und Ausdehnung der Verletzung ab.
Für die Erstversorgung am Unfallort gelten die allgemeinen Erste-Hilfe-Richtlinien. Bei bewusstlosen Personen steht die Sicherung der lebenswichtigen Funktionen im Vordergrund.
Bei Verdacht auf ein Schädel-Hirn-Trauma sollte umgehend medizinische Hilfe in Anspruch genommen werden. Der Notruf (144) kann kontaktiert werden oder eine Notfallambulanz aufgesucht werden.
Die Kosten für die Diagnose und Behandlung eines Schädel-Hirn-Traumas werden in der Regel von Ihrem zuständigen Sozialversicherungsträger übernommen. Es kann jedoch ein Selbstbehalt oder Kostenbeitrag anfallen. Detaillierte Informationen erhalten Sie bei Ihrem Sozialversicherungsträger.
Es ist wichtig, dass Kopfverletzungen ernst genommen und rasch behandelt werden, da sie lebensbedrohlich sein können oder schwere Folgen nach sich ziehen können.
Kostenabdeckung bei Schädel-Hirn-Trauma: Informationen zur finanziellen Unterstützung

Ein Schädel-Hirn-Trauma kann schwerwiegende Folgen haben und eine rasche medizinische Behandlung erfordern. Doch wie werden die Kosten für die Diagnose und Behandlung eines Schädel-Hirn-Traumas abgedeckt?
Die gesetzliche Krankenversicherung übernimmt alle notwendigen und zweckmäßigen Diagnose- und Therapiemaßnahmen. Ihr zuständiger Sozialversicherungsträger trägt die Kosten für diese Leistungen. Es kann jedoch sein, dass ein Selbstbehalt oder Kostenbeitrag anfällt. Genauere Informationen hierzu erhalten Sie bei Ihrem Sozialversicherungsträger.
Um sich auf einen Aufenthalt im Krankenhaus vorzubereiten, sollten Sie Ihre e-card bereithalten. Diese ist Ihr persönlicher Schlüssel zu den Leistungen der gesetzlichen Krankenversicherung.
Bei Beschwerden oder dem Verdacht auf ein Schädel-Hirn-Trauma sollten Sie umgehend ärztliche Hilfe in Anspruch nehmen. Wenden Sie sich entweder an den Notruf 144 oder suchen Sie die nächste Notfallambulanz auf.
Ein Laborbefund kann weitere Informationen über mögliche Verletzungen oder Komplikationen geben. Dieser wird von medizinischem Fachpersonal ausgewertet und kann zur weiteren Diagnosestellung beitragen.
Es ist wichtig zu beachten, dass nicht jede Kopfverletzung automatisch zu einem Schädel-Hirn-Trauma führt. Eine genaue Untersuchung durch medizinisches Fachpersonal ist daher unerlässlich, um eine korrekte Diagnose zu stellen und die richtige Behandlung einzuleiten.
Bei Fragen zur Kostenabdeckung oder weiteren Informationen zum Schädel-Hirn-Trauma können Sie sich an Ihren Sozialversicherungsträger wenden. Dort erhalten Sie detaillierte Auskunft über die finanzielle Unterstützung und weitere Leistungen im Zusammenhang mit einem Schädel-Hirn-Trauma.
Bedeutung eines Schädel-Hirn-Traumas: Ursachen, Symptome und Diagnosemöglichkeiten

Ein Schädel-Hirn-Trauma bezeichnet Verletzungen des Schädels, die mit einer Funktionsstörung des Gehirns einhergehen. Häufige Ursachen für ein Schädel-Hirn-Trauma sind Stürze, Verkehrsunfälle und Sportverletzungen. Je nach Schwere des Traumas können unterschiedliche Symptome auftreten.
Formen von Schädelfrakturen
- Geschlossene (gedeckte) Schädelbrüche: Die Haut im Bereich der Fraktur ist intakt, jedoch kann es zu Formveränderungen des Schädels sowie zur Verletzung von Hirngewebe kommen.
- Offene Schädelbrüche: Über dem Knochenbruch entsteht eine Wunde, sodass Hirnhäute oder das Gehirn selbst freiliegen können.
Formen von Gehirnverletzungen
- Gehirnquetschung oder Gehirnkompression (Compressio cerebri): Der erhöhte Druck aufgrund einer Blutung oder Hirndrucksteigerung kann das gesamte Gehirn oder Teile davon schädigen.
Ursachen eines Schädel-Hirn-Traumas
- Häufige Ursachen sind Stürze, Verkehrsunfälle und Sportverletzungen.
Symptome eines Schädel-Hirn-Traumas
- Äußere Verletzungsanzeichen wie Bluterguss, Beule, Schwellungen und Fehlstellungen können auftreten.
- Weitere Symptome können mehrmaliges Erbrechen unmittelbar nach dem Ereignis oder bis zu sechs Stunden danach, Bewegungsstörungen, verwaschene Sprache, plötzliche Wesensänderung, Gangunsicherheit und Pupillendifferenz sein.
Diagnose eines Schädel-Hirn-Traumas
Die Diagnose wird im Krankenhaus gestellt. Eine sorgfältige ärztliche Untersuchung des Kopfes, der Hirnfunktionen und nötigenfalls des gesamten Körpers wird durchgeführt. Zusätzlich können Röntgenuntersuchungen, Computertomographien oder Magnetresonanztomographien zur Sicherung der Diagnose verwendet werden.
Behandlung eines Schädel-Hirn-Traumas
Die Behandlung richtet sich nach der Schwere des Traumas. Bei schweren Verletzungen sind operative Eingriffe zur Versorgung von Gehirnblutungen und Schädelbrüchen oft notwendig. Auch bei vermeintlich harmlosen Gehirnerschütterungen wird eine Beobachtung im Krankenhaus empfohlen.
Anlaufstellen für Hilfe bei einem Schädel-Hirn-Trauma
Bei Verdacht auf ein Schädel-Hirn-Trauma sollte der Notruf gewählt oder die nächste Notfallambulanz aufgesucht werden.
Kostenabdeckung bei einem Schädel-Hirn-Trauma
Die Kosten für Diagnose- und Therapiemaßnahmen werden von Ihrem zuständigen Sozialversicherungsträger übernommen. Bei bestimmten Leistungen kann jedoch ein Selbstbehalt oder Kostenbeitrag anfallen. Detaillierte Informationen erhalten Sie bei Ihrem Sozialversicherungsträger.
Erste Hilfe bei Schädel-Hirn-Trauma: Maßnahmen und Notfallkontakt

Ein Schädel-Hirn-Trauma kann lebensbedrohlich sein und erfordert eine rasche Abklärung und Behandlung. Hier sind einige Maßnahmen, die Sie ergreifen können, wenn Sie Zeuge eines solchen Traumas werden:
– Rufen Sie sofort den Notruf unter der Nummer 144 an oder suchen Sie die nächste Notfallambulanz auf.
– Sichern Sie die lebenswichtigen Funktionen der verletzten Person, insbesondere Atmung und Kreislauf.
– Entfernen Sie den Helm einer Motorradfahrerin/eines Motorradfahrers, um die Atmung zu überprüfen und gegebenenfalls lebensrettende Maßnahmen durchzuführen.
– Vermeiden Sie unnötige Bewegungen der verletzten Person, um weitere Verletzungen zu vermeiden.
– Achten Sie auf äußere Verletzungsanzeichen wie Blutergüsse, Beulen, Schwellungen oder Fehlstellungen des Gesichts.
– Beobachten Sie mögliche Symptome wie wiederholtes Erbrechen, Bewegungsstörungen, verwaschene Sprache oder plötzliche Wesensänderungen.
– Wenn klare Flüssigkeit (Hirnwasser) aus Ohren, Nase oder Mund austritt, deutet dies auf eine mögliche Hirnverletzung hin.
– Halten Sie die verletzte Person wachsam und beruhigen sie bis zum Eintreffen professioneller medizinischer Hilfe.
Es ist wichtig zu beachten, dass diese Maßnahmen nur vorübergehende Erste-Hilfe-Maßnahmen sind und eine umfassende medizinische Untersuchung und Behandlung erforderlich ist. Bei Verdacht auf ein Schädel-Hirn-Trauma sollten Sie immer den Notruf wählen oder eine Notfallambulanz aufsuchen.
Notfallkontakt:
– Rufen Sie den Notruf unter der Nummer 144 an.
– Suchen Sie die nächste Notfallambulanz auf.
Es ist ratsam, sich mit den Notfallkontakten vertraut zu machen und diese griffbereit zu haben, falls ein Schädel-Hirn-Trauma oder eine andere medizinische Notfallsituation eintritt.
Vorsorge und Aufenthalt im Krankenhaus bei Schädel-Hirn-Trauma: Tipps für Betroffene
1. Rasche Hilfe bei Beschwerden finden
Wenn Sie Symptome eines Schädel-Hirn-Traumas bemerken, sollten Sie sofort ärztliche Hilfe suchen. Wählen Sie den Notruf 144 oder begeben Sie sich umgehend in die nächste Notfallambulanz.
2. Vorbereitung auf den Krankenhausaufenthalt
Wenn ein Schädel-Hirn-Trauma diagnostiziert wurde und ein Krankenhausaufenthalt notwendig ist, gibt es einige Dinge, die Sie vorbereiten können:
– Informieren Sie Ihre Angehörigen über Ihren Aufenthalt im Krankenhaus.
– Packen Sie persönliche Gegenstände wie Kleidung und Hygieneartikel ein.
– Nehmen Sie wichtige Dokumente wie Ihren Personalausweis und Ihre Krankenversicherungskarte mit.
3. Bedeutung von Laborbefunden
Laborbefunde können wichtige Informationen über Ihren Gesundheitszustand liefern. Diese werden von Ärzten analysiert, um eine genaue Diagnose zu stellen und die geeignete Behandlung einzuleiten.
4. Kostenabdeckung
Die Kosten für die Diagnose und Behandlung eines Schädel-Hirn-Traumas werden von Ihrem Sozialversicherungsträger übernommen. Es kann jedoch zu Selbstbehalten oder Kostenbeiträgen kommen. Detaillierte Informationen erhalten Sie bei Ihrem Sozialversicherungsträger.
Es ist wichtig, dass Sie bei Verdacht auf ein Schädel-Hirn-Trauma sofort ärztliche Hilfe suchen. Ein schnelles Handeln kann lebenswichtig sein und schwerwiegende Folgen verhindern.
Zusammenfassend ist ein Schädelhirntrauma eine schwerwiegende Verletzung, die das Gehirn und den Schädel betrifft. Es kann durch verschiedene Ursachen wie Unfälle oder Gewalteinwirkung verursacht werden. Die Symptome können vielfältig sein und reichen von leichten Kopfschmerzen bis hin zu Bewusstseinsverlust. Eine sofortige medizinische Versorgung ist unerlässlich, um mögliche Komplikationen zu vermeiden und die Genesung zu unterstützen.

